立即注册找回密码

QQ登录

只需一步,快速开始

微信登录

微信扫一扫,快速登录

搜索
小桔灯网 门户 资讯中心 技术杂谈 查看内容

mNGS助力精准病原微生物诊断系列——惠普尔病不是电脑病

2022-7-1 10:25| 编辑: 沙糖桔| 查看: 2683| 评论: 0|来源: Illumina因美纳

摘要: 本期,我们将为您带来惠普尔病相关话题。

宏基因组病原微生物检测技术目前在临床诊疗中发挥的作用越来越受到重视,在疑难、危急重症、未知和罕见病原微生物感染领域发挥着不可替代的作用。因美纳期待通过“mNGS助力精准病原微生物诊断病例系列”与您从一个个鲜明的病例中,共同直观的感受mNGS助力精准病原微生物诊断之优势。本期,我们将为您带来惠普尔病相关话题。

什么是惠普尔病 1

  • 惠普尔病 (Whipple’s disease,WD) 是一种少见的慢性复发性感染性疾病。

  • 临床表现:累及多系统,可表现为多发性游走性关节炎、咳嗽、腹泻 (脂肪泻)、小肠吸收不良、进行性消瘦及肠系膜淋巴结炎,随受累的器官不同WD的临床表现多样且无特征性。

  • 病原体:惠普尔养障体(Tropheryma Whipplei,TW)。

诊断方法 2

  • 临床微生物学实验室应用的规检测方法:TW 为革兰阳性菌,但 TW 革兰染色效果不佳,抗酸染色为阴性,且在体外不易培养。

  • 诊断方法:一般须定量聚合酶链反应(qPCR)技术和/或宏基因组下一代测序(mNGS)技术进行诊断,qPCR 和 mNGS 都不是常规检测方法,所以WD容易被临床忽视。

诊断延迟 3

  • 目前国内对于该细菌相关的疾病报道较少,由于临床对该细菌缺乏了解及诊断方法有限,疾病常被误诊,甚至长时间得不到确诊。


因美纳测序平台助力惠普尔病精准诊断之研究案例精选

案例1

肺实质受累的WD 4

基本信息:患者男性,26岁

主诉:左侧呼吸胸痛4天

既往史:既往身体健康,没有免疫缺陷疾病,也没有服用任何免疫抑制剂,为软件工程师,没有旅游史,也没有接触过感染TW的患者。

体格检查:患者体格检查正常

辅助检查:

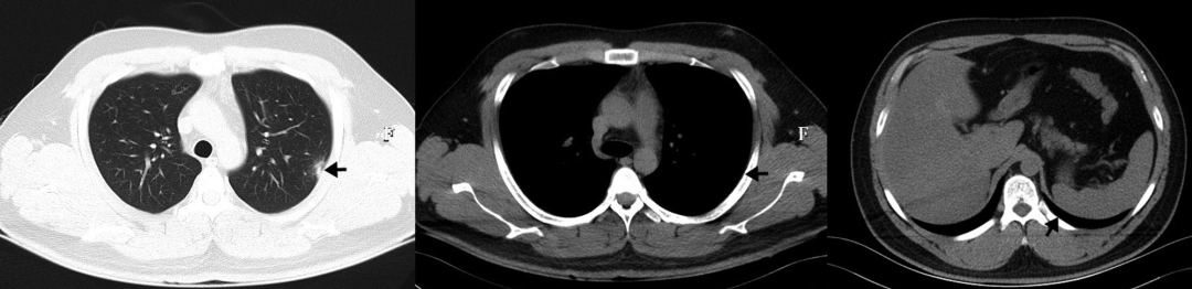
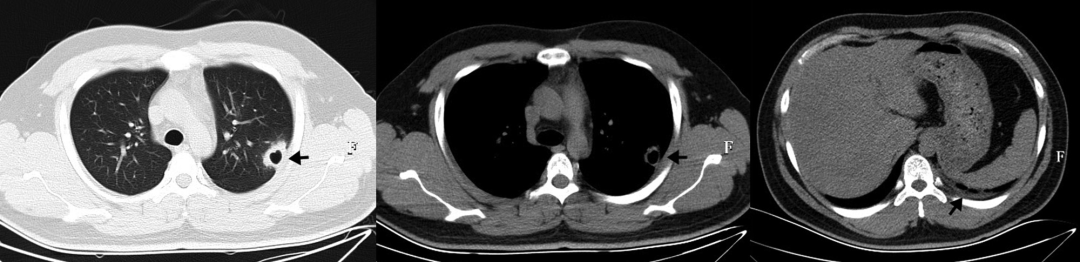
  • 胸部CT显示左上肺有一个厚壁空洞,可见血管集束征和局部胸膜增厚(如图1所示)

  • 血常规、C反应蛋白(CRP)、血沉、降钙素原、1,3-β-D-葡聚糖测定和内毒素检查均正常。肺炎支原体、肺炎衣原体、肺炎军团菌、呼吸道病毒和艾滋病毒的血清学检测均为阴性。自身抗体均为阴性。结核菌素试验呈阴性

  • 支气管镜检查显示正常的支气管粘膜

  • 对支气管肺泡灌洗液(BALF)进行mNGS检测到TW


图1:治疗前胸部CT显示左上肺厚壁空洞,内缘光滑,外缘不规则,邻近胸膜和左下胸膜增厚


诊断:WD

接受静脉注射头孢曲松(2g,每日一次)治疗2周,口服磺胺甲恶唑-甲氧苄啶(0.96g,每日两次)。治疗一周后胸痛缓解。治疗6周后,胸部CT扫描显示肺空洞消失,只留下少量斑片状浸润。胸膜增厚情况有所改善(图2)。


图2:治疗6周后胸部CT显示空洞消失,仅留下少量斑片状浸润,胸膜增厚改善

小结:WD本身非常少见,肺实质受累更是罕见的。患者没有接触过感染TW患者的病史,多项实验室检查均为阴性,为诊断带来了挑战,但通过mNGS很快在BALF检测到TW,患者才得以明确诊断。


案例2

合并TW感染的艾滋病患者5

基本信息:患者男性,28岁

主诉:运动后出现干咳、胸闷和呼吸急促1周。艾滋病患者,在支气管肺泡灌洗中诊断为TW 和耶氏肺孢子菌合并感染。在磺胺甲恶唑-甲氧苄啶和美罗培南治疗后,患者在2周内表现出临床改善。

体格检查:体温为37.6℃,发现口腔白斑,双肺底部有少量湿啰音,多发淋巴结肿大

辅助检查:

  • 白细胞计数为6.52∗109/L,中性粒细胞比率为72.7%↑,CRP为166 mg/L↑

  • 血清淀粉样蛋白A水平高达130 mg/L

  • 氧分压为87.5 mmHg↓

  • 白蛋白为30.3 g/L↓

  • 血培养、嗜肺军团菌、肺炎链球菌和肺炎支原体抗体检测,基于PCR的SARS-CoV-2检测均为阴性

  • 隐球菌荚膜抗原、1,3-β-D葡聚糖检测、曲霉半乳甘露聚糖检测和γ干扰素释放试验均为阴性

  • HIV-RNA的病毒载量为84100 IU/ml。CD4+T细胞计数为11个细胞/μl

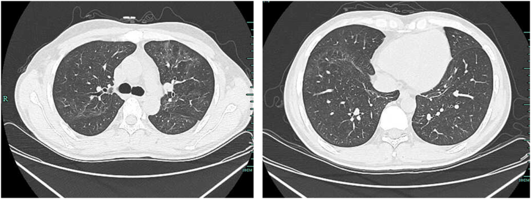
  • 肺部CT显示多灶性双侧毛玻璃影(图3)


图3:入院时肺部CT显示多灶性双侧毛玻璃样阴影


  • 每天三次服用四片磺胺甲恶唑-甲氧苄啶(磺胺甲恶唑1.2g,甲氧苄啶240mg)

  • 治疗2天后(第3天),患者症状更严重,体温达到39.9℃,支气管镜检查显示支气管粘膜充血和支气管炎症改变,BALF有核细胞计数为20∗106/L,隐球菌抗原、1,3-β-D葡聚糖检测和BAL培养均为阴性。耶氏肺孢子菌的六胺银染色和基于PCR的巨细胞病毒和结核分枝杆菌检测也呈阴性。除此之外,对BALF进行了NGS检测

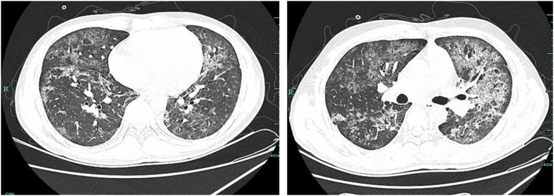
  • 治疗5天后(第6天),肺部CT显示病情比治疗前更严重(图4)。NGS的结果回报耶氏肺孢子菌特异性序列数为205658,覆盖度为1.70%,TW特异性序列数为 115,覆盖度为1.00%。qPCR显示TW的拷贝数为11717.3拷贝/ml

  • 根据mNGS结果,针对性给予美罗培南1g q8h和卡泊芬净70mg,甲基强的松龙40 mg BID

  • 第12天,患者临床症状有所缓解,肺部CT较之前明显改善(图5)

  • 第16天,患者出院


图4:肺部CT提示双肺发生多发感染,第6天存在散在弥漫性斑片状、磨玻璃样、高密度影


图5:第12天,肺部CT示双肺多发感染,较前好转,略弥漫,伴磨玻璃样高密度影


小结:TW容易在HIV个体的肺部定植,本病例是TW和耶氏肺孢子菌的共同感染,这两种病原体在感染宿主后通常有类似的发热、咳嗽和呼吸困难症状,由机会性或毒性病原体引起的肺部感染是导至艾滋病患者高死亡率的主要原因。然而,像TW感染肺部的特异性病原体很难诊断出来。在本案例中,通过对BALF进行NGS检测,从而确定了TW和耶氏肺孢子虫的存在,奠定了治疗的基础。

通过以上两个案例可以看出,对于WD这种少见病,在很多常规实验室检查都束手无策的情况下,mNGS有助于提高诊断率。临床上类似的不明病因感染还有很多,我们将在今后的系列中分享更多的病例,欢迎大家关注。


参考文献

  1. 付宝庆, 刘青华, 谷鸿喜. 惠普尔病及惠普尔养障体研究进展[J]. 国际免疫学杂志, 2014, 37(2):4.

  2. 程燕, 宁永忠. 惠普尔养障体导至急性肺炎的探讨[J]. 中华检验医学杂志, 2021, 44(11):1090-1093.

  3. 武彧, 王强, 王虹,等. 成功救治惠普尔养障体致脓毒性休克,心搏呼吸骤停患者一例[J]. 中华急诊医学杂志, 2021, 30(09):1138-1141.

  4. Zhang WM, Xu L. Pulmonary parenchymal involvement caused by Tropheryma whipplei. Open Med (Wars). 2021;16(1):843-846. Published 2021 Jun 2. doi:10.1515/med-2021-0297

  5. Yan J, Zhang B, Zhang Z, et al. Case Report: Tropheryma whipplei Hide in an AIDS Patient With Pneumocystis Pneumonia. Front Public Health. 2021;9:663093. Published 2021 Aug 13. doi:10.3389/fpubh.2021.663093


.

声明:
1、凡本网注明“来源:小桔灯网”的所有作品,均为本网合法拥有版权或有权使用的作品,转载需联系授权。
2、凡本网注明“来源:XXX(非小桔灯网)”的作品,均转载自其它媒体,转载目的在于传递更多信息,并不代表本网赞同其观点和对其真实性负责。其版权归原作者所有,如有侵权请联系删除。
3、所有再转载者需自行获得原作者授权并注明来源。

最新评论

关闭

官方推荐 上一条 /3 下一条

客服中心 搜索 洽谈合作
返回顶部