立即注册找回密码

QQ登录

只需一步,快速开始

微信登录

微信扫一扫,快速登录

搜索
小桔灯网 门户 资讯中心 技术杂谈 查看内容

mNGS助力精准病原微生物诊断系列——结核分枝杆菌?不,非结核分枝杆菌!

2022-7-1 09:59| 编辑: 沙糖桔| 查看: 2508| 评论: 0|来源: Illumina因美纳

摘要: 本期,我们将为您带来非结核分枝杆菌相关病例。

因美纳的“mNGS助力精准病原微生物诊断病例系列”准时与您见面,本期,我们将为您带来非结核分枝杆菌相关病例

什么是非结核分枝杆菌?

  • 分枝杆菌菌种数量目前已经发现超过170种,大多数具有引起人类感染的致病性。非结核分枝杆菌(non-tuberculous mycobacteria, NTM),也称非典型分枝杆菌,是指除结核分枝杆菌复合群(MTC)和麻风分枝杆菌以外的分枝杆菌1

  • NTM在我们周围的环境中无处不在,包括水、土壤、动物、植物、乳制品和其他食品,NTM易引起肺部及皮肤感染,引发肺部疾病最为常见2

  • 自20世纪90年代中期以来,特别是随着艾滋病的流行、器官移植以及免疫抑制剂应用的增多,NTM感染患病率不断上升2

  • NTM可以分为快生长分枝杆菌(RGM)和慢生长分枝杆菌(SGM)1

诊断方法

  • 将患者痰涂片进行抗酸染色,但此方法不能区分麻风分枝杆菌、结核分枝杆菌复合群以及NTM;若抗酸染色为阳性结果,应再进一步利用培养基进行培养,并分离菌株进行PNB(对硝基苯甲酸)生长实验,以此判断此菌株是RGM或SGM以及是否为NTM,并且抗酸染色法存在阳性率不高的缺点。

  • 培养NTM具有挑战性,需要很长的时间(7天到几周)3

  • 痰检阳性率大多在35%以下4

  • 宏基因组下一代测序(mNGS)技术测定法增加了特异性和敏感性。

误诊

结核分枝杆菌感染与NTM感染临床表现相似,临床医生易将NTM疾病误诊为结核分枝杆菌病或者真菌感染如“孢子丝菌病模式”,采取不当的治疗手段,对患者病情造成不良影响2,甚至并不考虑NTM疾病而直接对患者施用结核杆菌病治疗手段,等患者长期治疗后并未见好转,才重新考虑患者所得为NTM疾病,而此时患者感染部位多已出现实质性损伤、内在病菌药敏反应迟钝等恶性影响5。因此,对感染菌株进行鉴定对于NTM感染性疾病的诊疗至关重要2

案例一

一例非HIV患者偶发分枝杆菌和马尔尼菲篮状菌的播散性混合感染6


基本信息患者女性,28岁

主诉右侧颈部淋巴结肿大约2月,反复发热1月余。

现病史患者于2017年8月17日入院,右侧颈部淋巴结肿大约2月,反复发热1月余,并伴有双侧腿部红疹、水肿和疼痛性皮下结节。

既往史2015年有宠物鼠咬伤史。

体格检查右颈骨淋巴结肿大,双侧小腿有疼痛的结节性红斑。

辅助检查

  • 血红蛋白:9.4 g/dL↓,红细胞压积:28.8%↓,白细胞计数:16.27×109/L↑,中性粒细胞计数:78.6%↑,血小板计数:418×109/L↑。

  • C反应蛋白:138.15mg/L ↑,红细胞沉降率:88mm/h↑。

  • HIV血清学:阴性,血清隐球菌荚膜多糖抗原检测:阴性。

  • 免疫球蛋白水平和淋巴细胞亚群正常。

  • T细胞斑点试验(T-SPOT):不确定。

  • 血、痰、支气管肺泡灌洗液(BALF)培养:阴性,皮肤损伤培养:阴性。

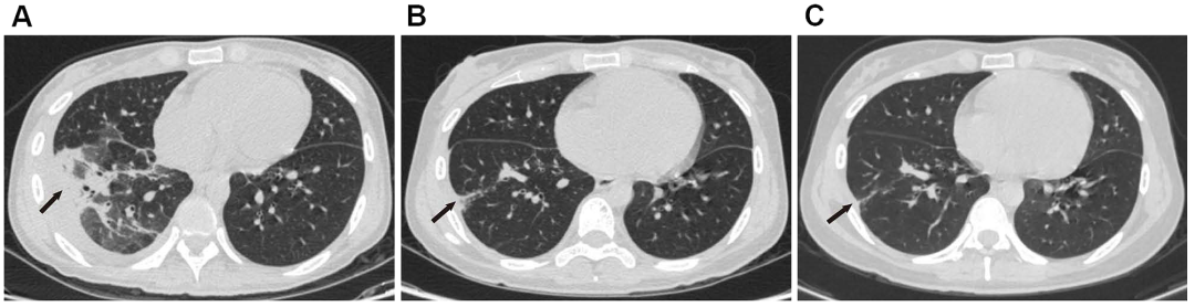
  • 胸部电脑断层扫描(CT)显示右上肺斑片状浸润,肺门和纵隔淋巴结肿大(图1A 和B)。

  • 颈部淋巴结的病理:肉芽肿性炎症,抗酸染色和PAS染色:阴性(图2A 和B)。

  • EBUS-TBNA活检显示散在的肉芽肿性炎症。

图1:(A和B)显示肺门区淋巴结肿大;(B–E)显示肺门区增大的淋巴结逐渐缩小。

图2:(A和B)H&E染色病理检查(H & E,100×;H&E,400×)提示肉芽肿性炎症。肉芽肿由淋巴结中的上皮样细胞组成。PAS(-)。

  • 脑脊液检查正常,涂片和培养:阴性。

  • 骨髓活检:未发现血液恶性肿瘤细胞,骨髓和淋巴结组织的培养:阴性。

  • 颈部淋巴结病理检查:化脓性坏死性淋巴结炎,无真菌,PAS (-)。

  • 正电子发射断层扫描-计算机断层扫描:右肺门、纵隔、右锁骨上和右颈部多发淋巴结肿大,脾肿大和多处骨代谢增加。

  • 马尔尼菲篮状菌qPCR:1798拷贝/uL;2020年1月的BALF样本的qPCR分析检测:马尔尼菲篮状菌。

  • 淋巴结mNGS:偶发分枝杆菌。

诊断偶发分枝杆菌和马尔尼菲篮状菌的播散性混合感染。

治疗给予两性霉素B、伏立康唑(VRC)、利奈唑胺(LZD)和ETM。

转归

  • 体温恢复正常,呼吸道症状有所改善,皮疹消退。

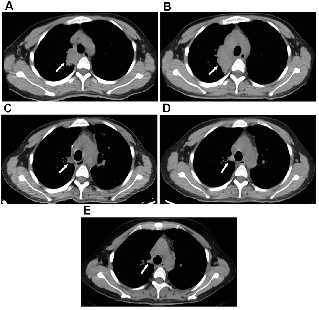
  • 2020年5月和8月的胸部CT:肿大的肺门淋巴结已逐渐缩小(图 1B–E),且肺部病变明显吸收(图3A–C)

图3:(A)胸部CT显示斑片状浸润、带状和结节状阴影、胸腔积液。(A–C)右肺下叶病变,胸腔积液逐渐吸收。

小 结

播散性NTM感染的诊断主要基于阳性血培养,其次是骨髓、肝脏和淋巴结组织的阳性培养。在该病例中,脑脊液、骨髓和淋巴结组织等培养均为阴性,淋巴结样本中通过mNGS检测到偶发分枝杆菌,这是感染的最佳证据。同时,通过qPCR检测高拷贝的马尔尼菲篮状菌,最终确定诊断。

案例二

一例堪萨斯分枝杆菌感染和GATA2突变的MonoMAC综合征7

基本信息患者女性,65岁

主诉反复发热5月,再发一天

现病史患者5月前因骨髓母细胞增多、巨核细胞减少而入院,接受了四个疗程的氨磷汀治疗,但症状没有改善。住院期间,患者感染了复发性肺炎,通过多种抗生素治疗缓解。两个月后,发热和肺炎的症状再次出现,发热为38.3–39℃,伴有胸闷、咳嗽、咳痰和气短。

既往史骨髓增生异常综合征(MDS)病史5年

辅助检查

  • 血细胞计数:淋巴细胞减少和单核细胞减少,白细胞(WBC)计数:1800细胞/mm3,单核细胞计数:0–0.1细胞/mm3;血红蛋白:7.6 g/dL,血小板计数:17×109/L。

  • B细胞(CD19+)的绝对计数:6×106/L(50–670×106),NK细胞(CD3-/CD16+56+)的绝对计数:34×106/L(40–1000×106/L),CD4+T细胞计数:141细胞/mm3,CD4/CD8:0.99。

  • 脾肿大(大小为4.1厘米)。

  • 铁蛋白:2361.4ng/mL。

  • EBV-DNA和巨细胞病毒(CMV)-DNA:阴性。

  • 痰培养:肺炎克雷伯菌。

  • 外周血标本测序:堪萨斯分枝杆菌。

  • 外周血NGS:GATA2、U2AF1、SETBP1、KMT2D、 BRAF、EPPK1和ETV6 突变。

诊断MonoMAC综合征。

治疗

  • 乙胺丁醇、利福布丁和克拉霉素等抗生素治疗。

  • 诊断MonoMAC综合征后41天,死于耐碳青霉烯类耐药性肺炎克雷伯菌血行性感染。

小 结

  • MonoMAC综合征与GATA2种系突变密切相关,该患者反复感染,多项辅助检查未确定病原体。在该病例中,NGS检测出堪萨斯分枝杆菌,并进而确诊。

  • 通常BALF是检测mNGS的理想标本。然而,严重血小板减少的患者,不能耐受支气管镜检查。在该病例中,采用了外周血标本进行mNGS,其他mNGS的可选样本包括分泌物和组织液。

总 结

NTM种类较多,本文介绍了偶发分枝杆菌和堪萨斯分枝杆菌两种NTM的两个案例,可以看得出来,对于NTM疾病,很多传统检测手段都较难发现病原体,mNGS有助于提高诊断率。临床上类似的有趣的案例还有很多,我们将在今后的系列中继续分享更多的病例,欢迎大家关注。


参考文献

  1. 彭传新. 抗非结核分枝杆菌药物研究进展[J]. 中国抗生素杂志, 2021, 46(4):8.

  2. 潘晴, 暴芳芳, 刘红,等. 非结核分枝杆菌的临床检测研究进展[J]. 中国麻风皮肤病杂志, 2021, 37(6):5.

  3. Sharma SK, Upadhyay V. Epidemiology, diagnosis & treatment of non-tuberculous mycobacterial diseases. Indian J Med Res. 2020;152 (3):185–226. doi:10.4103/ijmr.IJMR_902_20

  4. Hatta M, Sultan AR, Tandirogang N, et al. Detection and identification of mycobacteria in sputum from suspected tuberculosis patients. BMC Res Notes. 2010;3:1–6. doi:10.1186/1756-0500-3-72

  5. 魏彦昌, 付玉荣. 非结核分枝杆菌实验室诊断研究进展[J]. 中国病原生物学杂志, 2018, 13(8):4.

  6. Huang, H., Deng, J., Qin, C., Zhou, J., & Duan, M. (2021). Disseminated Coinfection by Mycobacterium fortuitum and Talaromyces marneffei in a Non-HIV Case. Infection and drug resistance, 14, 3619–3625. https://doi.org/10.2147/IDR.S316881

  7. Shen, Y., Li, Y., Li, H., Liu, Q., Dong, H., Wang, B., Ye, B., Lin, S., Shen, Y., & Wu, D. (2021). Diagnosing MonoMAC Syndrome in GATA2 Germline Mutated Myelodysplastic Syndrome via Next-Generation Sequencing in a Patient with Refractory and Complex Infection: Case Report and Literature Review. Infection and drug resistance, 14, 1311–1317. https://doi.org/10.2147/IDR.S305825




声明:
1、凡本网注明“来源:小桔灯网”的所有作品,均为本网合法拥有版权或有权使用的作品,转载需联系授权。
2、凡本网注明“来源:XXX(非小桔灯网)”的作品,均转载自其它媒体,转载目的在于传递更多信息,并不代表本网赞同其观点和对其真实性负责。其版权归原作者所有,如有侵权请联系删除。
3、所有再转载者需自行获得原作者授权并注明来源。

最新评论

关闭

官方推荐 上一条 /3 下一条

客服中心 搜索 洽谈合作
返回顶部