立即注册找回密码

QQ登录

只需一步,快速开始

微信登录

微信扫一扫,快速登录

搜索
小桔灯网 门户 资讯中心 技术杂谈 查看内容

影响对流PCR扩增成功与否的因素

2022-10-26 17:28| 编辑: 沙糖桔| 查看: 4522| 评论: 0|来源: POCT分子诊断 | 作者:尧灵

摘要: 引物和扩增子设计对 DNA 扩增成功与否至关重要。


摘要 本文采用毛细管对流 PCR 平台将毛细管安装在温度为 95°C 的加热器上,通过自然对流实现 PCR 循环。

毛细管底部 (高温区域) 样品通过浮力驱动上升,同时使模板变性。样品上升过程中,因周围空气的冷却使其温度下降。

当样品到达毛细管顶部 (低温区域) 时,开始进行退火和延伸,随后 DNA 模板下沉并再次加热。

引物和扩增子设计对 DNA 扩增成功与否至关重要。

术语  CCPCR : Capillary Convective PCR

简介

由温度梯度内的流体密度变化引起的自然对流可用于 DNA 扩增。当样品在自然对流作用下在不同温度区域重复循环时,样品可能会在一次循环中经历 PCR 扩增的三个步骤----核酸变性,退火和延伸。

对流 PCR 可以将扩增时间从数小时缩短至 30-40 分钟。但是,当前的对流 PCR 系统使用两个或多个独立的温度控制器和复杂的系统设计,需要特定形状的管道或额外的腔室才能使流体完全循环。

此外,某些操作需要特定的技巧,如从细管中装载和卸载试剂以及密封管的两端而不将气泡困在里面。每一步操作对成功扩增都至关重要。

此外,因没有研究对比传统 PCR 和对流 PCR 在引物和扩增子设计上的差异,从而限制了对流 PCR 的广泛应用。

毛细管对流 PCR 平台

如图 1 所示,毛细管对流 PCR 采用带有温度反馈控制功能的热浴锅作为热源。样品容器为一种具有封闭式底部的商业玻璃毛细管 (100 ul),长 51 mm,其内径和外径分别为 2.3 mm 和 3.2 mm。

将两个具有不同钻孔深度(4 mm 和 30 mm)的加热块放入温度维持于 95°C 的热浴锅中。(有意思,也就是它的热源是 水 呗)

首先将装有样品的玻璃毛细管放入 30 mm 深的加热块上。在 10 min 内通过热传导将整个试管完全加热以激活 Taq DNA 聚合酶。

之后,将管子转移到 4 mm 深的加热块上,并采用塑料毛细管支架支撑。仅在底部加热试管 30 min,便可进行 DNA 扩增。

图 1 两个加热块放置在 95° 的热浴锅中

样品上部覆有 10μL 矿物油。2ul 的 CPCR 产物 采用 琼脂糖凝胶电泳分析。

粒子图像测速和温度测量

通过粒子图像测速技术 (PIV) 对毛细管 (75ul) 中流体的流动进行了观察。其中,h / d = 7.7 ( h / d 表示毛细管中样品的高度与毛细管内径之比)。

试剂采用去离子水,直径 50μm 的 polystyrene polyamide particles 作为 trace particle ( 

图 2A

图 1B (顶部) 显示了从毛细管下端加热,其内部试剂循环一圈温度的变化情况。 

图 2B CCPCR (上图) 和传统 PCR (下图) 之间样品温度曲线的比较。传统 PCR 在每一步扩增中都保持恒定的温度,并且整个管中一次只能执行一个扩增步骤,而 CCPCR 的温度曲线沿毛细管的长度方向平滑变化,同时 PCR 扩增的不同步骤同时进行。

为了延长扩增的持续时间,可以通过调节热系统或通过设计具有高解链温度的特异性引物来调节 


图 3 当热浴锅温度设定在95°C时,油-样品区的温度随着样品体积的增加而降低

但是,如果流体路径过长,可能会激发自然对流中的第二种运动模式:也就是说,流动模式可能会分成两个或多个垂直循环路径。对于更长的毛细管,流体流动可能会变得更加紊乱。
应避免这些情况,以确保流体运动模式的稳定性。进一步,腔室体积变大会增加所需 PCR 试剂的量进而增加反应成本。因此,选择了体积为 75μL 的毛细管来维持稳定的热对流环境。

图 4 (I) 将底部厚度为 3mm 的商用玻璃毛细管放在具有直径 3.2mm ,深 4mm 孔的铝块中加热. (II) 一个塑料毛细管支架防止毛细管倾斜(支架高度(HH): 26 mm;矿物油: 10μL). (III) 采用 PIV 进行流场分析. (IV) FLUENT 模拟显示当样品高度为 18 mm (体积为75μL) 时,毛细管中流场的稳定循环状况.

如图 4 所示, 采用 PIV 可视化了毛细管 (直径: 2.3 mm) 中的流体流动情况,并通过 FLUENT 仿真模拟软件进行了确认。上述设计解决了流体流动产生的第一个挑战和成功扩增所需的温度场。

图 5 h/d = 7.7, Ra =  

图 6

除了  

图 7

也可以使用化学方法通过添加二甲基亚砜 (DMSO) 来降低扩增子的  

图 8

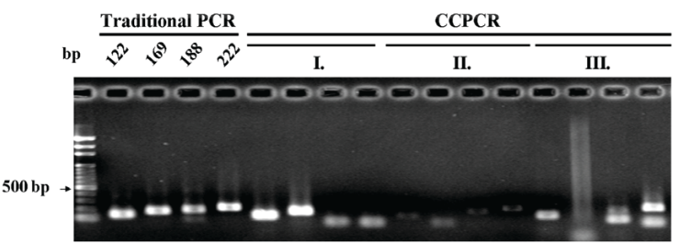
如图 8 所示,CPCR 可以扩增 DNA≤500 bp 的长度。这揭示了 

图 9

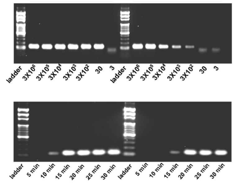
如图 10 所示,HBV 质粒DNA的测试灵敏度为每个反应 30 份。高拷贝和低拷贝 HBV DNA 序列 (分别为 3000 和 30 拷贝/管) 仅在 30 分钟内通过 CCPCR 扩增。

图 10 (上图) 传统 PCR (图片右半部分) 和 CCPCR (图片左半部分) 扩增从  

图 11 毛细管对流 PCR 在不同环境温度下的反应。初始 DNA 拷贝为1000 份

一个主要的担忧是环境温度可能会对 CPCR 产生影响,因为该平台使用环境温度作为冷却机制。
如图 11 所示,本文测试发现,CPCR 在冰箱中 4°C 和暖箱中 33°C 均有效,但当环境温度 > 38°C 时 CPCR 扩增失败。因此,除了极热的地方外,CPCR 与一般的室内操作兼容。

参考文献

Rapid DNA amplification in a capillary tube by natural convection with a single isothermal heater. 

声明:
1、凡本网注明“来源:小桔灯网”的所有作品,均为本网合法拥有版权或有权使用的作品,转载需联系授权。
2、凡本网注明“来源:XXX(非小桔灯网)”的作品,均转载自其它媒体,转载目的在于传递更多信息,并不代表本网赞同其观点和对其真实性负责。其版权归原作者所有,如有侵权请联系删除。
3、所有再转载者需自行获得原作者授权并注明来源。

最新评论

关闭

官方推荐 上一条 /3 下一条

客服中心 搜索 洽谈合作
返回顶部