立即注册找回密码

QQ登录

只需一步,快速开始

微信登录

微信扫一扫,快速登录

搜索
小桔灯网 门户 资讯中心 注册认证 查看内容

【冯仁丰】介绍2020年的ISO 17511文件第二版(18)

2021-4-22 16:28| 编辑: 沙糖桔| 查看: 3152| 评论: 0|来源: 冯仁丰

摘要: 我特别注意到,在ISO 17511第二版的第5.4章中,提及的两个例子。一个是糖化血红蛋白,还有一个是C-反应蛋白。关于糖化血红蛋白的溯源情况,我在第17个微信介绍中已经很详细地说了。但是,为什么在第5.4章中要提及C- ...


我特别注意到,在ISO 17511第二版的第5.4章中,提及的两个例子。一个是糖化血红蛋白,还有一个是C-反应蛋白。关于糖化血红蛋白的溯源情况,我在第17个微信介绍中已经很详细地说了。但是,为什么在第5.4章中要提及C-反应蛋白?


欧洲经济共同体委员会于1993年宣布,为14种人血清蛋白的免疫化学检测,建立了一个含有人血清基质的参考物质,命名为CRM-470(目前被称为ERM-DA470)。这个参考物质为14种人血清蛋白设定了参考值。它们是:α1-酸性糖蛋白(α1-acid glycoprotein)、α1-抗胰蛋白酶原(α1-antitrypsin)、α2-巨球蛋白(α2-macroglobulin)、白蛋白(Albumin)、补体C3(C3 complement)、补体C4(C4 complement)、铜蓝蛋白(ceruloplasma)、C反应蛋白(C-reactive protein,CRP)、触珠蛋白(haptoglobin)、免疫球蛋白A(Imminoglbulin A)、免疫球蛋白G(Imminoglbulin G)、免疫球蛋白M(Imminoglbulin M)、转铁蛋白(transferrin)、甲状腺素(transthyretin)。其中,α1-酸性糖蛋白、α1-抗胰蛋白酶原、转铁蛋白和甲状腺素相对于高纯度蛋白给予定值。甲状腺素以往还没有被任何权威的参考制品给予定值。


这个参考物质的出现,为当时临床实验室对这些分析物的检测一致性,得到了很大的提高。


在制备中,C-反应蛋白是将含有CRP纯化液加到参考制品中,使最后的CRP浓度约40 mg/L。


这个CRM是一个冷冻干燥制品。对这个CRM制品内14种蛋白的定值,至今尚无可靠的参考方法或参考物质。可以使用的方法与临床实验室使用的常规检测方法相似,即免疫散射比浊、免疫透射比浊、和单向免疫扩散。因此对CRM内蛋白的定值,必须极其当心,即使在检测原理、仪器或试剂的设计上的微量变异,均会导至不同的结果。必须实施方法标准化作为前提。为了消除这些因素,在值设定练习中形成和确认了一个具有详细参数设定的精确的转换方案。因此,从本质上,这个参考物质,我的理解这是一个不可溯源到SI的国际约定校准物质。但是,我还是没有弄清楚,在ISO 17511第二版中,为什么将这个参考物质在“特定一级校准品校准RMP定义被测量的情况”。这个分类我们以后在学习中,再去理解。


ISO 17511的第二版中,在第5.4章内说到了两个示例。一个是糖化血红蛋白,一个就是C反应蛋白。糖化血红蛋白的溯源情况我在前一个微信中给大家做了介绍。我的这个微信是为了解释C-反应蛋白问题。出现的问题是,过去在为CRP定值时,没有遇到的问题,但在CRM即将耗尽用完前,IRMM完全原先的制备方案,再做一批新的多个蛋白参考物质,就在分析定值中,发现检测定值偏低!原因何在?发现是因为血清制品在冷冻干燥中,使原先的C-反应蛋白的五聚体结构发生解离。造成免疫化学方法的检测偏低。为什么?


C-反应蛋白(CRP)是人重要的急性相蛋白之一,它的血清中浓度在感染非常早的阶段,按照多个等级大小快速升高。所以,CRP被广泛地用作炎症标志物。CRP浓度的中度升高与心血管疾病长期风险有关。


天然CRP(nCRP)是一个五聚体蛋白,由5个相同的、非共价链接的亚单位,每一个为23 kDa。每个亚单位结合两个钙离子,每个亚单位具有一个钙-依赖结合点,为磷酰基胆碱或含有磷酰基胆碱的巨分子。在体内CRP非均相程度依然在辩论。但至今,确认了人类血液中CRP结构多态性。


  在研究中观察到的CRP问题:

  • 冷冻干燥后的回收率仅75%(目前认为回收率为近80%);

  • 在冷冻干燥的材料中瓶间的非均相性高;

  • 在冷冻干燥的材料中存在不同的低聚物。 

 

  天然人血清中,具有生物活性的C-反应蛋白,是一个五个单体形成的五聚体。如下图所示。

 

图1 天然CRP的五聚体


但是,2008年欧洲参考物质和参考检测程序研究院(IRMM),面临原先在1993年制备的CRM(后改为ERM-DA470)即将用完,为此,制备了一个新批号的血浆蛋白参考物质,去替代即将耗尽的ERM-DA470,确保血清蛋白检测标准化的连续性。该新物质,被称为ERM-DA470k/IFCC。该物质被确定了12个蛋白,但它不适合确认CRP,因发现经冷冻干燥过程后,造成常规的免疫检测的CRP丧失了约20%,这是与未经冷冻干燥、储存在液态深低温状态的物质比较得出的。决定使用相同方式制备的、但未经冷冻干燥处理、储存在深低温的液态状态的那批另一个物质,命名为ERM-DA472/IFCC,取代了冻干形式的ERM-DA470k/IFCC。ERM-DA472/IFCC确定的CRP(由免疫散射比浊、免疫透射比浊)使用了参考物质ERM-DA470作为校准物。当时也已经发现,若在ERM-DA470(原CRM 470)冷冻干燥前添加钙,可以缓解CRP回收率的下降。在复溶中使用钙离子也可改善CRP检测结果的回收率。但是,在最后的ERM-DA470k/IFCC中没有这么做,因为钙对稳定性和其他蛋白的互换性的影响尚未可知。


在当时的IRMM提供的资料上,可以看到:未经冷冻干燥的冷冻液体与冷冻干燥品,使用了多个CRP免疫检测方法在20多个实验室的检测结果,有着明显差异。如下图所示,图的上半部分为深低温液体保存的,图的下半部为冷冻干燥保存的;所有冷冻保存的结果,与冷冻干燥前的CRP结果几乎一致,回收率为接近105%;但是经冷冻干燥后复溶的液体中,检测结果的回收平均水平,为处理前的81%。

 

图2 液体状态和冻干状态的参考物质内

CRP被检测结果的差异

  

为此,IRMM做出决定,以深低温保存的液体状态参考物质,作为CRP检测的参考物质。


在临床化学杂志的2010年。题目为:不同制品包括2个批准的参考物质中C-反应蛋白的物理化学状态的分析中。Dr Ingrid Zegers与Dr Heinz Schimmel等参与ERM DA470研制的专家在发现CRP结果偏低后的实验报告,也非常说明问题。


专家们分析了一组含有CRP的4个冻干的和2个未冻干的血清材料。在冻干材料复溶后,CRP在每个材料中的浓度大约为40 mg/L。


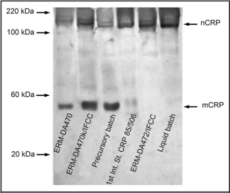
半天然电泳与蛋白印迹结合揭示了,在所有6个分析的材料中,均有分子量约150 kDa的一个区带,相当于nCRP(见图3)。在一个表现为分子量约50 kDa的,为第二个区带的移动,被假设相当于单体CRP。但仅在被冻干的CRP材料的电泳谱中检出。在液体的和液体-深低温的材料中没有(接近没有)。

 

图3 含有CRP材料的电泳和蛋白印迹分析结果


图3内从左到右的各个图谱分别为:第1条为1993年制备的原CRM(现称为ERM-DA470);第2条为2008年IRMM制备的多个蛋白参考物质,经冷冻干燥的ERM-DA470k/IFCC;第3条为2008年正式制备前预试验的样品(冷冻干燥物);第4条为第一个国际CRP标准(1st Int. CRP 85/506)。这是1993年为ERM-DA470内CRP定值使用了CRP参考物质。由图可知,这个标准CRP内,也含有了相当量的CRP单体!第5条为深低温保存的ERM-DA472/IFCC样品。没有可见的CRP单体。最后那个为制备ERM-DA472k/IFCC使用的液体状态(经液态保存的留样)。非常清楚,冷冻干燥对参考物质的加工处理,一定为降解CRP的五聚体,产生CRP单体。


专家们认为,冷冻干燥过程已知产生了各种压力,会改变蛋白的物理化学状态。在CRP的情况下,这些改变看来与变化一致,如聚合或单体化,在一个天然的五聚体蛋白中会出现多个CRP的状态。


天然CRP的五聚体结构,是通过邻近的亚单位间van der Waals力、氢键、和盐桥予以维持。另外,分子的整个结构的完整性的保留,要求它与钙离子的互相作用。在钙结合位点没有被占有,CRP的原聚体经历变化,会具有一个不严密的构造,使得亚基间的互相作用减弱。所以,在分析材料中的CRP五聚体解离的不同程度,因来自该浓度差异而至。结果显示了因冻干过程引入的CRP不稳定,在钙离子具有足够高浓度下,可以通过钙离子稳定CRP,减少CRP不稳定。这个结论与在文献中开始对检出CRP失活中钙的重要性是一致的。Potempa等报告了,仅通过去除钙而没有同时变性就不能轻易实现单体CRP的形成,其他研究人员观察到,在缺乏钙或含有螯合剂的缓冲液中长时间储存后,CRP会自发解离。近期研究中,没有在具有钙浓度被减少到0.5 mmol/L的物质中,为了不影响冷冻干燥,观察到CRP的重大解离。


除了冻干外,复溶步骤可影响蛋白的稳定性。干燥的蛋白在复溶中不会再次折叠成它的天然形式。被冻干和复溶在蒸馏水中的物质,观察到分析前减少了CRP的信号。为了检测,是否复溶的条件会具有影响,ERM-DA470k/IFCC被复溶在含有10 mmol/L CaCI2的缓冲液中,与用水复溶的进行比较。这个实验的结果揭示了添加钙到复溶缓冲液,使得在复溶材料中单体CRP含量明显地减少。


在Potempa等检测单体CRP制品,观察它们与多个原抗纯化天然nCRP抗血清的反应性。他们总结认为,在形成单体CRP期间发生的变化,导至天然CRP的一些决定簇的丧失,这是关键影响CRP的免疫反应性,以及它的物理化学特性。这些总结在以后其他的研究中得以确认(11,18,19)。正如所有其他免疫化学结束,包括用于常规检测CRP的,依赖使用抗体的特异性,非常看来被抗体在识别各个形式CRP上的差异,将影响CRP量化的结果。特别是,被抗nCRP抗体对单体CRP的识别衰退,可解释在参考物质ERM-DA470k/IFCC中,被检测的CRP浓度减少,其中部分CRP被解离。


对单体CRP识别的受损,不是仅有的因素,部分解离的CRP将影响它的检测结果。人血浆CRP常规被光散射的免疫检测方法检测,是依据凝集反应,涉及在抗体和抗原间形成桥连。在这些检测中,抗原-抗体反应的化学计量学起着关键角色,由于它与观察到的沉淀有效性有关。交叉连接的结构,要求实现凝集,被多价抗体和多个抗原决定簇产生的是最有效的。在CRP的情况下,五聚体分子的解离减少了每个抗原分子的抗原决定簇的数量,这样也减少了每个分子抗体结合位点。结果,形成交叉连接结构和光散射的强度将减少,造成单体蛋白检出的的减弱,特别是在使用单克隆抗体的检测方法。


在临床化学,参考物质适用性的一个重要方面是,它对天然人样品的类似性。因为在分析样品中多个形式的CRP,影响了依据免疫检测CRP量化的结果,问题出现的是,仅关注参考物质,而未考虑这样的问题在天然病人样品的CRP检测是否是通用的问题。


使用冻干的参考物质,含有单体CRP(正如ERM-DA470情况,和较少程度的1st International Standard CRP 85/506),去校准免疫检测方法,只要仅使用对五聚体形式的CRP的特异方法,就不一定会导至测量结果出现明显偏差。在被声明检测的所有CRP多肽的情况下,单体CRP的存在,例如,以LC-MS为基础的方法检测了所有的多肽链,包括单体形式。单体CRP的存在会导至常规免疫检测和LC-MS基础方法间的不一致。所以,ERM-DA472/IFCC,这个被批准的CRP参考物质,作为仅含有五聚体CRP的液体-深低温的物质。


为了更多了解CRP,我还再次翻阅了40年前CRM 470的说明书。在介绍确定CRM 470 中CRP定值时,使用的CRP 1st 国际标准 (代码85/506),有一段话讲得很详细。现摘录如下:


为CRM 470(后被改为ERM470)定值,使用了WHO颁布的人CRP 1st 国际标准 (代码85/506),被用于为CRP设定IU/ml的人为指定浓度和g/L的质量浓度。该物质的数据由Prof.M. Pepys提供:


该国际标准CRP浓度由国际合作的研究确定,涉及9个国家的18个实验室,使用了很大范围的不同检测方法。在实验室间对标准的安瓿内关于CRP浓度有很好的一致性,该值与原产地实验室确定的值非常接近,因此将其作为指定值。这是依据使用高度纯化的CRP为校准品得到的电免疫分析的CRP浓度。


该纯CRP被:

1)通过SDS-PAGE分析,在还原后的12.5%凝胶中,在凝胶中每条电泳含有60 μg蛋白质,并用亮蓝色(R-350)染色,在银染中增加了灵敏度;

2) 以敏感的免疫检测方法没有检出任何污染蛋白;

3) 通过对绵羊和兔子长时间免疫后产生特异性抗CRP单体抗血清。进行了详细的分析。


在CRM 470的说明书中,还说了:CRP的纯度和完整,以后被电喷雾质谱确认,揭示了摩尔质量为23027 g/mol,与CRP亚单位中已知氨基酸序列计算的一样。完整CRP分子有五个这样的单体组成。


对纯CRP制品的浓度,通过它的折射率的三次精确测定计算确定,使用了干涉法,以及假设一个折射率的增量为0.19 ml/g。依据这些对CRP浓度的检测,质量浓度10 g/L的光吸收值,在光径10 mm、280 nm下被确定为17.5。应用这些相同的程序到非常关联的五聚体蛋白,血清淀粉样蛋白P的成分,给出了值17.1,这是近期被确认是准确的,当一个纯血清淀粉样蛋白P成分制品,被单独地称量检查,在经过对水大量透析后,接着在活性炭中、在-196℃下,压力<0.1 Pa被冷冻干燥3天。这提供了对折射率方式的有效性,支持检测纯五聚体溶液的浓度。


用于确定纯度和CRP浓度的方法稳健性,相对于人CRP的1st 国际标准安瓿设定含量校准的标准,即49 μg CRP,可以被可信地采纳。


另外,对CRM中的CRP定值,是由国际上多个实验室的参与,按照事先确定的定值方案,各个实验室单独进行定值。参与定值的实验室有:欧洲的有25个;美国有9个;日本有2个。采用的检测方法为现有水平的检测方法,即免疫散射方法、免疫透射方法、和单向免疫扩散方法。


为什么我要如此详细地介绍这些内容?我在多年前第一次阅读到这份CRM 470 的说明书时,我深深地被这些专家确定的定值方案是如此严密和详细而感动。但是,我更多地了解到,这个ERM-DA472/IFCC参考物质,与40年前确定CRP浓度的那个CRM 470一样,应该认识到,为CRP定值没有一个被国际认可的参考物质,也没有一个被国际认可的参考方法。因此,严格讲,这至多是一个国际上经过协商合作得到的CRP参考值的参考物质。严格讲,不可溯源到SI单位。但是,现在的专家们,将这个CRP参考物质捧高了!


我这个微信内容,其实并不是专门真对ISO 17511第二版的解释,而是告诉大家,一个CRP的检测,会受到样品中CRP单体的影响。这个问题不仅是参考物质的问题,也还存在于我们每天检测的病人样品、质量很差的试剂中。


对于我的这篇微信,希望大家提出批评指正。


声明:
1、凡本网注明“来源:小桔灯网”的所有作品,均为本网合法拥有版权或有权使用的作品,转载需联系授权。
2、凡本网注明“来源:XXX(非小桔灯网)”的作品,均转载自其它媒体,转载目的在于传递更多信息,并不代表本网赞同其观点和对其真实性负责。其版权归原作者所有,如有侵权请联系删除。
3、所有再转载者需自行获得原作者授权并注明来源。

最新评论

关闭

官方推荐 上一条 /3 下一条

客服中心 搜索 洽谈合作
返回顶部