立即注册找回密码

QQ登录

只需一步,快速开始

微信登录

微信扫一扫,快速登录

搜索
小桔灯网 门户 资讯中心 杂侃天下 查看内容

免疫组织化学(IHC)实验方法总结

2021-3-19 00:00| 发布者: 沙糖桔| 查看: 7223| 评论: 0|来源: Immunoway生物

摘要: 一 免疫组织化学:免疫组织化学(简称免疫组化)是组织化学的一种,它是利用已知的特异性抗体或抗原能特异性结合的特点,通过化学反应使标记于结合后的特异性抗体上的显示剂,如酶、金属离子、同位素等,显示一定的 ...

一 免疫组织化学:

免疫组织化学(简称免疫组化)是组织化学的一种,它是利用已知的特异性抗体或抗原能特异性结合的特点,通过化学反应使标记于结合后的特异性抗体上的显示剂,如酶、金属离子、同位素等,显示一定的颜色,并借助显微镜观察其颜色的变化,从而在抗原抗体结合部位确定组织、细胞结构的化学成份或化学性质。


二 免疫组化临床应用主要包括以下几方面:

1 恶性肿瘤的诊断与鉴别诊断;

2 确定转移性恶性肿瘤的原发部位;

3 对某类肿瘤进行进一步的病理分型;

4 软组织肿瘤的治疗一般需根据正确的组织学分类,因其种类多、组织形态相像,有时难以区分其组织来源,应用多种标志进行免疫组化研究对软组织肿瘤的诊断是不可缺少的;

5发现微小转移灶,有助于临床治疗方案的确定,包括手术范围的确定;

6为临床提供治疗方案的选择。


三 阳性标记特征:

1阳性标记色度特征

免疫组化标记时细胞阳性着色程度取决于抗原含量、分布密度和标记方法及其敏感性。一般而言,抗原含量越多,分布密度越高,标记方法越敏感,阳性结果显色则越强。根据阳性标记的显色程度分为:淡黄色,提示为弱阳性;棕黄色,为中等度阳性;棕黑色,示为强阳性。

1阳性标记细胞学特征

免疫组化标记中,阳性标记细胞学特征是反映抗原在细胞中的定位和分布情况。在诊断中阳性细胞以拟标记的细胞为前提,阳性表达必须在细胞特定的抗原部位,若不在抗原所在部位的阳性表达和非目标细胞即使阳性也不应作为判断依据。根据抗原在细胞中分布和阳性颗粒沉淀部位可分为以下5种类型:

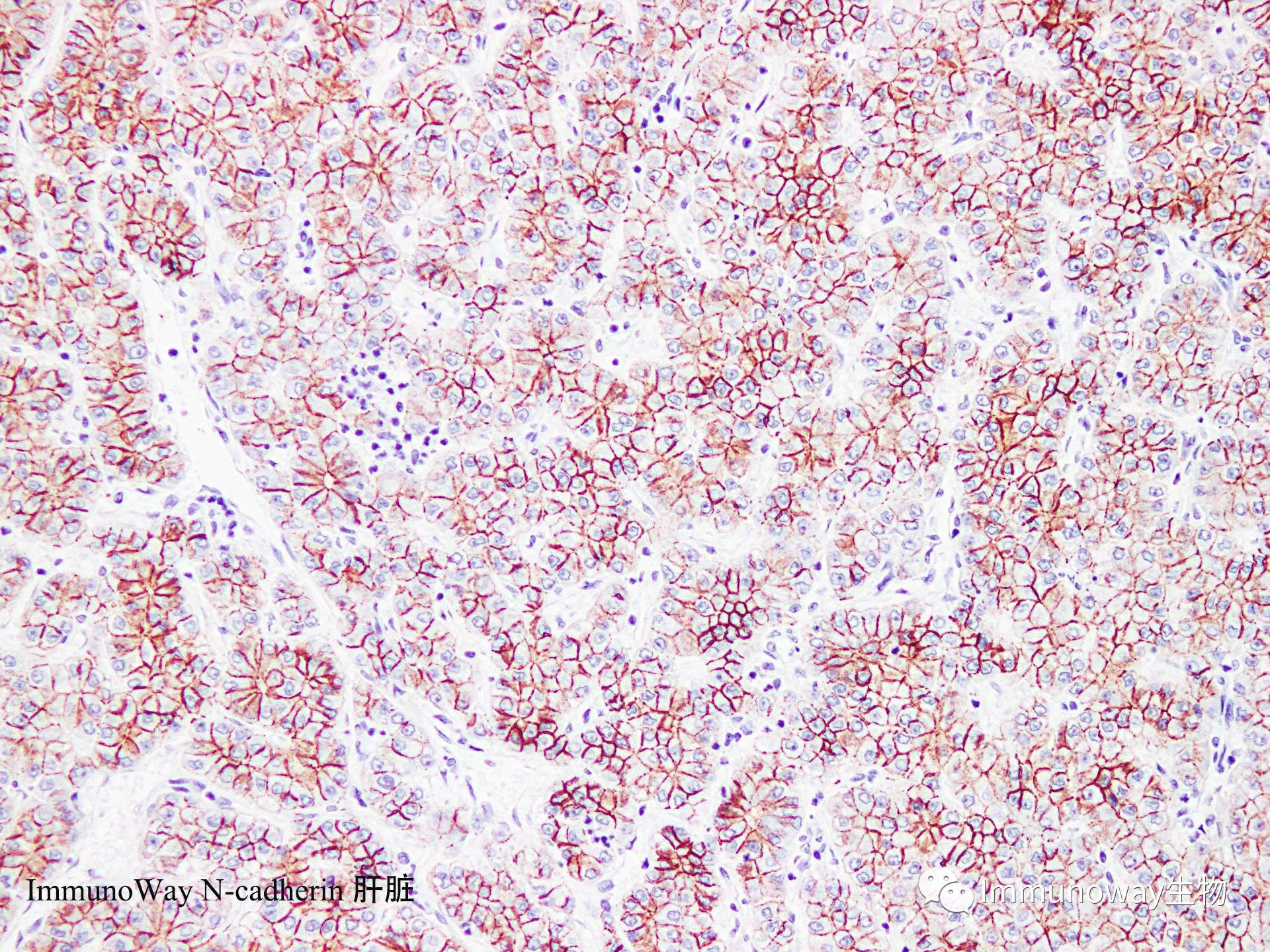
(1)胞膜型 阳性颗粒主要分布于细胞膜表面,形成一薄层棕黄色颗粒包绕整个细胞。此类型常见于某些膜抗原,如淋巴细胞胞膜抗原CD45、细胞间黏连的主要结构成分N-cadherin,白细胞共同抗原(LCA)及B细胞、T细胞、粒细胞相关抗原(GAA)和Ki-1等。


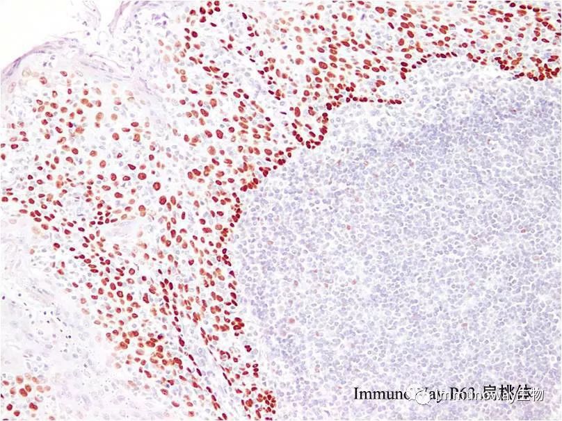
(2)胞核型 阳性颗粒定位于细胞核,呈均匀分布或位于核膜下,有的呈小斑块状不规则分布。此多见于增殖细胞核抗原、Ki-67及激素受体中雌激素受体(ER)、孕激素受体(PR)和基因p63等。


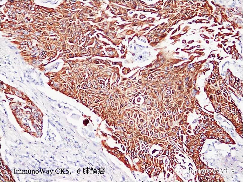
(3)胞浆型 阳性颗粒主要分布于细胞浆。大部分抗原均属于此种类型,如细胞角蛋白、波形蛋白、结蛋白、神经丝蛋白、肌红蛋白、α1-抗胰糜蛋白酶及前列腺特异性抗原(PSA)等。依据抗原在胞浆内分布形式,通常表现为弥漫性分布或局限性分布。前者阳性颗粒弥漫而均匀地分布于整个细胞浆。局限性是指阳性颗粒呈小斑点状或斑块状局限于细胞浆中的某一部位、核周或细胞浆的一侧。


(4)微绒毛型 抗原颗粒主要分布于腺癌细胞的微绒毛,而胞浆和胞膜可以是阳性或阴性表达。这种表现形式最常见于各种腺癌,如甲状腺癌、乳腺癌、胃肠腺癌、胆道腺癌、等。其特点是阳性颗粒除靠近腔面阳性外,其余基底部可呈阴性反应。

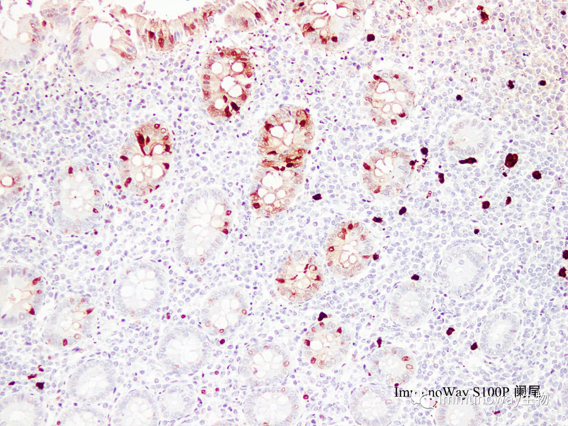
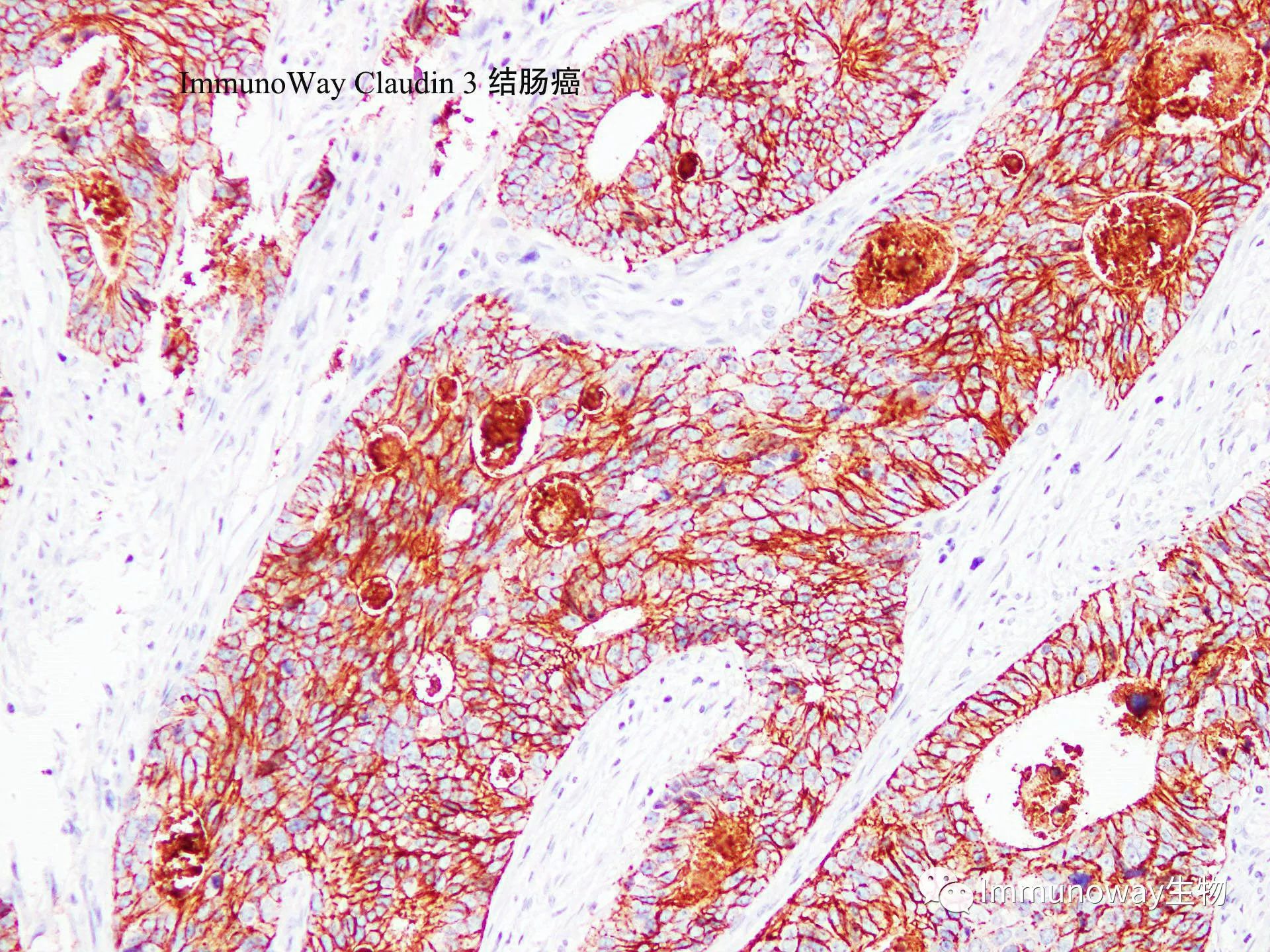
(5)复合型 在常规免疫组化标记中,同一种抗原可以同时表达于胞膜和胞浆,如基因Claudin 3、胞核和胞浆,如基因S100P, 但很少发现胞膜和胞核同时表达。值得注意的是组织标本固定不及时造成抗原移位使胞核和胞浆同时阳性。

四 免疫组化实验设计:

1 阳性对照

含目的抗原物质的其他组织标本。

2 阴性对照

阴性切片对照:用已知确定不表达所要检测的抗原的其他组织切片做阴性对照(排除一抗的非特异性结合)。

同型抗体替代对照:因为有些蛋白表达比较广泛,很难找到阴性组织,这时可以选择同型抗体替代对照。

(1)如果一抗是多克隆抗体,用与一抗相同种属来源的非免疫动物血清代替一抗,其他完全一样。

(2)如果一抗是单克隆抗体,用与一抗相同种属来源、相同亚型、相同剂量和相同的免疫球蛋白及亚型的免疫球蛋白代替一抗,其他完全一样。

空白对照:一抗用pbs替代,其他步骤完全一样(排除二抗的非特异性结合)。


五 操作步骤:

1. 组织固定:在脱蜡之前,将切片60℃恒温箱中烘烤-----60分钟。

2. 脱蜡:将切片用二甲苯浸泡-----10分钟,更换二甲苯后再浸泡-----10分钟。

3. 水化:分别在无水乙醇、95%乙醇、85%乙醇、70%乙醇中浸泡-----5分钟。

4. 洗涤:PBS浸泡-----5分钟,清洗3次。

5. 抗原修复(微波法):将切片放入10mmol/ml的枸橼酸盐缓冲液(pH 6.0)中,微波炉中档温度处理5分钟,取出加缓冲液中档温度处理5分钟。(高温高压法):EDTA缓冲液(pH 9.0)于高压锅中加热,沸腾后将切片放入,排气阀排气后计时2分钟,自然冷却。

6. 洗涤:PBS浸泡5分钟,清洗3次。

7. 灭活酶:3% H2O2-甲醇溶液处理切片-----15分钟。

8. 洗涤:PBS浸泡5分钟,清洗3次。

9. 加一抗:加入一抗-----100ul,37℃,湿盒孵育1小时。

10. 洗涤:PBS浸泡-----5分钟,清洗3次。

11. 加Post-blocking:加入Post-blocking 50ul,室温湿盒孵育30分钟。

12. 洗涤:PBS浸泡-----5分钟,清洗3次。

13. 加酶标二抗:加入Poly-HRP-Anti Mouse/Rabbit IgG 50ul,室温湿盒孵育30分钟。

14. 洗涤:PBS浸泡-----5分钟,清洗5次。

15. 显色:取----- 0.85ml蒸馏水,加入DAB显色试剂盒试剂A----- 50ul,混匀;加入DAB显色试剂盒试剂B -----50ul,混匀;加入DAB显色试剂盒试剂C -----50ul,混匀;避光。滴加到切片上,每片100 ul,显色3-4分钟,至有棕黄色出现为止。

16.终止显色:用蒸馏水终止显色反应。

17. 复染:将切片放入苏木素染液中染色----- 45min ,用蒸馏水冲洗干净。

18. 封片:分别在70%乙醇、85%乙醇、95%乙醇、无水乙醇中浸泡-----5分钟。用二甲苯浸泡-----10分钟,更换二甲苯后再浸泡-----10分钟。晾干后在切片上加中性树胶,加盖玻片。


六 免疫组化结果的判断

1 每批染色都要以特异性的阳性对照和阴性对照为基础,才能对染色结果做出正确的判断。没有对照的免疫组化染色,即使做出了判断也是不可信的。

2 抗原表达必须在特定部位 阳性表达必须在细胞和组织特定的抗原部位才能视为阳性,如LCA在细胞膜上、Keratin在细胞浆内、S-100蛋白在胞浆和胞核内,EMA在细胞膜上。不在抗原所在部位的阳性表达一概不能视为阳性。

3 阴性结果不能视为抗原不表达 即阴性结果不能认为具有否定意义;阳性表达有强弱、多少之分,哪怕是只是有少数细胞阳性(但要在抗原所在部位)也要视为阳性表达,不能认为个别细胞阳性而不作阳性看待。

4 免疫组化与HE切片联合诊断,当免疫组化诊断结果与HE切片诊断不一致时,应再结合临床资料、X线等影像学及实验室结果综合分析,不能用免疫组化检查结果推翻HE切片诊断。


七 引起假阴性和假阳性结果的原因

1.假阴性结果的原因主要是:

(1)抗体已失活或浓度不当或抗体本身达不到应有的敏感度;

(2)由于组织自溶,抗原扩散而导至抗原消失,特别在长期固定的标本中因抗原漏出而致假阴性,因此应多用新鲜固定之标本;

(3)操作步骤不当,如反应时间不够或过久、洗脱不够或温度过高;

(4)组织或细胞中抗原的含量很低,所用的方法难以检测到,如用直接法检测为阴性,但改用间接法时则为阳性。

2.假阳性结果的原因主要是:

(1)所用的抗体与其它无关的抗原有交叉反应,特异性差,特别在应用多克隆抗血清时更易出现;

(2)所用抗体浓度过高或染色过程中切片干燥导至抗体与组织产生非特异性结合;

(3)组织或细胞中有内源性过氧化物酶、碱性磷酸酶及生物素等产生非特异性显色;


八 实验细节分析:

1石蜡切片和冰冻切片的比较?

(1)冰冻切片的优点是能够较好的保存组织的抗原免疫活性,做免疫组化时不需抗原修复这一步。缺点是细胞内易形成冰晶而破坏细胞结构,可能会使抗原弥散;切片厚度较石蜡的厚,做的片子没石蜡的漂亮。保存在 -80oC 的低温冰箱中,尤其是用来做原位杂交的切片,为了防止 RNA 降解,保存一贯很重要。在购买抗体时抗体会明确标出应用于IHC-Fr。

(2)石蜡切片的优点是可以保持组织细胞的形态结构,且容易存放在室温,由于石蜡切片可以切到 4 μm 左右,所以原位杂交探针容易渗透到组织中去,容易成功,而且得到的颜色/形态都较冰冻切片好。在购买抗体时抗体会明确标出应用于 IHC-P,ImmunoWay的科研级和病理级抗体适用的切片均为石蜡组织切片。

2 一抗选择的要点和技巧

(1)单克隆和多克隆抗体的选择。由一种克隆产生的特异性抗体叫做单克隆抗体。单克隆抗体能目标明确地与单一的特异抗原决定簇结合,就像导弹精确地命中目标一样。另一方面,即使是同一个抗原决定簇,在机体内也可以由好几种克隆来产生抗体,形成好几种单克隆抗体混杂物,称为多克隆抗体。在抗原抗体反应中,一般单克隆抗体特异性强,但亲和力相对小,检测抗原灵敏度相对就低;而多克隆抗体特异性稍弱,但抗体的亲和力强,灵敏度高,但易出现非特异性染色。

(2)多肽和全蛋白作为免疫原抗体的选择。对于免疫组化的组织来说,抗原决定簇是天然状态,有可能是连续或者不连续多肽肽段,多肽作为免疫原得到的抗体的特异性要远远强于全蛋白免疫得到的抗体。而病理级IHC应用抗体的免疫原是经过特别设计的多肽肽段。这也是ImmunoWay一直以来坚持多肽作为免疫原的主要原因。

(3)应用范围的选择。抗体明确标出IHC-Fr/IHC-P,或者都可以。

(4)种属反应性的选择。抗体可能存在种属差异,且这种抗体适合检测哪种种属动物体内的抗原。

(5)种属来源,一般兔来源的多是多克隆;而小鼠来源的多是单克隆,但也有另外。根据此来源来选择相应的二抗。

(6)生产厂家的选择。抗体选择的厂家很多,包括科研抗体品牌和病理抗体品牌,每个品牌各有各的特色。ImmunoWay品牌专注于研发免疫组化应用的抗体,病理级抗体200+,科研级抗体400+。

3 在什么情况下使用Triton-X100?

(1)Triton X-100 化学名称为聚乙二醇辛基苯基醚,是一种去污剂。在免疫组织化学(10 μm 以上厚切片) 和免疫细胞化学中一般用 Triton X-100 作为细胞通透剂,在膜上打孔。

(2)其作用原理:Triton X-100 可以溶解细胞膜、细胞核膜、细胞器膜上的脂质而使抗体及大分子结构的物质进入胞浆和胞核内,故在细胞免疫组化时尤为推荐使用,这样抗体就能顺利进入胞内与相应抗原结合。

(3)Triton X-100 既是一种表面活性剂,也有抗氧化作用。

4 封闭血清的选择原则是什么?

(1)膜上或切片上有剩余的位点可以非特异性吸附抗体,造成后续结果的假阳性。

(2)封闭血清一般是和二抗同一来源的,血清中动物自身的抗体,预先能和组织中有交叉反应的位点发生结合,否则在后面的步骤中如果和二抗发生结合,会造成背景。

(3)也可以用小牛血清、BSA、羊血清等,但不能与一抗来源一致。

5 抗体孵育条件的比较?

(1)一抗孵育温度有几种:4oC、室温、37oC,其中 4oC 效果最佳;孵育时间:这与温度、抗体浓度有关,一般 37oC 1-2 h,而 4oC 过夜和从冰箱拿出后 37oC 复温 45 min。

(2)二抗一般室温或 37oC 30 min - 1 h,具体时间需要摸索。

6 一抗 4℃ 孵育后为什么要进行 37℃复温?

(1)一方面,防止切片从 4oC 直接放入 PBS 易脱片。

(2)另一方面,使抗原抗体结合更稳定。一般不需要,但对表达较弱的抗原可能有用,4oC 和 37oC 时分子运动方式不同,前者分子碰撞机率和运动速度小于后者,后者结合更快,但敏感性也提高了并易造成非特异染色。

(3)其实,我更赞同后一种说法,因为我尝试把肝脏或睾丸片子从 4 ℃过夜拿出后,直接用 PBS 洗没发生过脱片现象。事实胜于雄辩。

7 DAB显色时间如何把握?

(1)DAB 显色时间不是固定的,主要由显微镜下控制显色时间,到出现浅棕色本底时即可冲洗。

(2)DAB 显色时间很短(如几秒或几十秒)就出现很深的棕褐色,这很可能说明你的抗体浓度过高或抗体孵育时间过长,需要下调抗体浓度或缩短抗体孵育时间。

(3)若很短时间就出现背景很深,还有可能是你前面的封闭非特异性蛋白不全,需要延长封闭时间。

(4)DAB 显色时间很长(如超过十几分钟)才出现阳性染色,一方面可能说明你的抗体浓度过低或孵育时间过短(最好一抗 4oC 过夜);另一方面就是封闭时间过长。

8 免疫组化结果如何分析?

(1)阳性着色细胞计数。在 40 * 光镜下,随机选择不重叠的 10 个视野,人工或机器计数阳性着色细胞,每组 3-6 张不同动物组织切片,然后进行组间比较即可。

(2)灰密度分析。通过在不同组别和不同动物组织切片上选择相同区域、相同条件下用 image j 进行灰密度分析,然后进行统计分析即可。

(3)阳性标记强度。通过在光学显微镜下对组织切片分别按染色程度(-分为阴性着色、+为淡黄色、++为浅褐色、+++为深褐色)。此种方法最为常用。

9 在什么情况下进行组织抗原修复,抗原修复的条件是什么?

(1)由于组织中部分抗原在甲醛或多聚甲醛固定过程中,发生了蛋白之间交联及醛基的封闭作用,从而失去抗原性。通过抗原修复,使得细胞内抗原决定族重新暴露,提高抗原检测率。

(2)修复方法从强到弱一般分为三种,高压修复、微波修复、胰酶修复。修复液也分为若干种(具体的可以查阅相关资料,大量的:中性的、高 pH 的等)。ImmunoWay常用高温高压EDTA修复。

10 内源性过氧化物酶的灭活时间和浓度是什么?

(1)一般 3% 过氧化氢灭活时间短点,可以 10 min 左右;而 0.3% 过氧化氢则可以适当延长封闭时间,一般 10-30 min。

(2)用甲醇配置过氧化氢比双蒸水或 PBS 好在保护抗原和固定组织作用,过氧化氢孵育时间过长易引起脱片。

(3)现用现配,配好后 4oC 避光保存。

11 如何才能充分脱蜡?

(1)蜡不溶于水,如果脱蜡不干净,少许蜡存留于切片上,将会引起染色不均匀、阳性物时隐时现、真假难辨、背景染色增加等。为了解决上述的问题,切片在染色前必须彻底脱蜡,目前用于脱蜡的试剂主要是二甲苯,因它脱蜡力强,脱蜡时间较短;

(2)脱蜡的时间要根据季节,室温和试剂的新鲜谋面是在不同。如果在夏天,室温较高,脱蜡试剂也新鲜,则脱蜡时间不需很多,3-5 min 就已足够。如果在冬天,室温较低,脱蜡试剂也较陈旧,则脱蜡时间需要延长,10-20 min 或更长。

(3)当天切的切片,烧烤 2 小时后进行染色,切片带有温度进行脱蜡这将可加速脱蜡的过程,如果预先切好烤好的切片,在染色前,还必须对切片进行加温 10-20 min,然后再行脱蜡,这样脱蜡速度加快,效果会更好。

总之,操作时应根据不同的季节,不同的室温,不同的试剂来决定,脱蜡的时间,原则上是要彻底、干净、完全地脱去切片上的蜡。

12 如何最大限度的降低组织非特异性染色?

(1)抗体选择最为重要,选择免疫原为多肽的抗体,主要应用于IHC实验;

(2)缩短一抗/二抗孵育时间、稀释抗体来控制;

(3)内源性过氧化物酶和生物素在肝脏、肾脏等组织含量很高(含血细胞多的组织),需要通过延长灭活时间和增加灭活剂浓度来降低背景染色;

(4)非特异性组分与抗体结合,这需要通过延长二抗来源的动物免疫血清封闭时间和适当增加浓度来加强封闭效果;

(5)缩短 DAB 孵育时间或降低 DAB 浓度/过氧化氢浓度等;

(6)适当增加 PBS 冲洗次数和浸洗时间,在一抗、二抗或 SP 孵育之后的浸洗尤为重要;

(7)防止标本染色过程中出现干片,这容易增强非特异性着色。

13 苏木素复染时间把握?

(1)苏木素复染时间要看当时的室温、溶液的新旧、目标抗原的定位等情况,一般数秒-数分钟。不过这个如果染色不理想可以补救的。即:染色深则分化时间稍长些即可;染色浅则再置于苏木素中染色即可。

(2)盐酸酒精是分化,氨水是返兰。作用不同。片子复染完后流水振洗,然后置于盐酸酒精中数秒(动作一定要快)后拿出流水振洗,在放入氨水中返兰即可。

(3)如果分化的颜色过浅,可以复置于苏木素中染色。

14 PBS 的清洗方式选择、次数和时间的选择?

(1)单独冲洗,防止交叉反应造成污染。

检测多张切片不同蛋白时,所用的抗体种类多,如果在加入一抗孵育完后,将它们在一个缸内洗,这样就会造成交叉污染,影响最后的结果。正确的做法是单独地进行冲洗,冲洗的 PBS 为一次性,保证切片没有相互交叉污染的机会。

(2)温柔冲洗,防止切片的脱落。

冲洗切片,取出切片,将 PBS 从上轻轻地冲洗,让 PBS 自上而下流下来,不要拿起切片将 PBS 对准切片冲洗,这样由于冲出的 PBS 有一定的冲击力,很容易使切片周边引起松动,导至切片的脱落。

(3)冲洗的时间要足够,才能彻底洗去结合的物质。

冲洗切片有人提出用微振荡器振染,振下未结合的各种物,使之不产生背景,此种做法一是浪费时间,二是很容易导至切片的脱落。切片的冲洗据实践认为,用一小烧杯柔和地于切片上冲洗,就能彻底冲洗去未结合的物质,无需附加其它条件,冲洗好于切片上再注入 PBS,持续 2 min 左右就完全足够了。

(4)PBS 的 pH 和离子强度的使用和要求。

刘彦仿指出:中性及弱硷性条件(pH7-8)有利于免疫复合物的形成,而酸性条件则有利于分解;低离子强度有利于免疫复合物的形成,而高离子强度则有利于分解。目前常用的 PBS 的 pH 在 7.4-7.6 ,浓度是 0.01 M。

(5)常用试剂的配制和使用。

在免疫组织化学的染色过程中,用得最多的试剂就是缓冲液,因为切片在整个染色中,抗体的加、换、切片的冲洗,DAB 的配制都离不开缓冲液。可见缓冲液在整个染色中都起至关键的作用,缓冲液的过酸或偏碱,都将影响染色的结果。

15 脱片产生的原因和如何防止脱片?

(1)多聚赖氨酸玻片质量的问题。

(2)组织切的不好,切片机的问题,例如比较老的旧的机器切得厚或者不均匀,或者切片者手法不好等。

(3)组织的问题,越是癌症组织有坏死之类越容易脱。

(4)没烤好,时间短温度不够之类。

(5)甩片时用力过大,有脱片可能的片子最好不甩或轻轻甩,用卫生纸从边缘上慢慢吸水。

(6)修复的问题:抗原修复的时候高压时间过长了,或者放进 100oC 的修复液时用力过大,这样超容易脱片。

(7)见到有组织漂起来操作需谨慎, PBS 洗片时尽量用泡,不要冲。

16 背景染色较深的原因有哪些?

(1)抗体浓度过高:一抗浓度过高是常见的原因之一。解决办法是,每次使用新抗体前应当对其工作浓度进行测试,使每一抗体个体化,找到理想工作浓度,既使是即用型的抗体也应如此,不能只简单的按说明书进行染色。

(2)抗体孵育时间过长或温度较高:解决办法是,严格执行操作规程,避免因遗忘而造成时间延长。

(3)DAB 变质和显色时间太长:DAB 最好现用现配,如有沉渣应进行过滤后再用。配制好的 DAB 不应存放时间太长,因为在没有酶的情况下,过氧化氢也会游离出氧原子与 DAB 产生反应而降低 DAB 的效力,未用完的 DAB 存放在冰箱里几天后再用这种似乎节约的办法是不可取的。DAB 的显色最好在显微镜下监控,达到理想的染色程度时立即终止反应。不过当染色片太多时或用染色机时,不易操作,但至少应对一些新的或少用的抗体显色时进行监控,避免显色时间过长。

(4)组织变干:修复液溢出后未及时补充液体、染色切片太多、动作太慢、忘记滴液、滴液流失等都是造成组织变干的原因。解决的办法是操作要认真仔细,采用免疫组化笔在组织周围画圈,可以有效的避免液体流失,也能提高操作速度。

(5)切片在缓冲液或修复液中浸泡时间太长(大于 24 h):如果将装有切片和修复液的容器放在 4oC 冰箱过夜,对结果无明显影响,如果放在室温,特别是炎热的夏天,会出现背景着色,因此,不可存放时间太长。

(6)一抗变质、质量差的多克隆抗体:注意抗体的有效期,过期的抗体会出现不显色或者有背景色。

ImmunoWay公司成立于2000年,一直以来专注抗体和试剂盒研发,经17年沉淀,病理级IHC应用抗体200+,科研抗体10000+,检测液态样本的夹心法ELisa和首创的检测细胞水平蛋白的Cell Based Elisa3000+。

ImmunoWay一直以来,不但追求产品高质量,更为科研工作者和代理商提供贴心,高效的售前,售后服务,做到责任至上,售后无忧!

声明:
1、凡本网注明“来源:小桔灯网”的所有作品,均为本网合法拥有版权或有权使用的作品,转载需联系授权。
2、凡本网注明“来源:XXX(非小桔灯网)”的作品,均转载自其它媒体,转载目的在于传递更多信息,并不代表本网赞同其观点和对其真实性负责。其版权归原作者所有,如有侵权请联系删除。
3、所有再转载者需自行获得原作者授权并注明来源。

最新评论

关闭

官方推荐 上一条 /3 下一条

客服中心 搜索 洽谈合作
返回顶部