立即注册找回密码

QQ登录

只需一步,快速开始

微信登录

微信扫一扫,快速登录

搜索
小桔灯网 门户 资讯中心 临床CRO 查看内容

2019年15大临床试验失败案例

2019-12-17 12:01| 编辑: 面气灵| 查看: 4899| 评论: 0|来源: fiercebiotech

摘要: 临床试验是获得新药上市许可的最重要步骤,也是新药研制过程中最昂贵的,而且从首次给药试验到上市的整个项目的也可能花费研究者和投资人巨大的时间。当然,一旦临床试验到达关键的实质性阶段,上市的可能性就会提高 ...

临床试验是获得新药上市许可的最重要步骤,也是新药研制过程中最昂贵的,而且从首次给药试验到上市的整个项目的也可能花费研究者和投资人巨大的时间。

当然,一旦临床试验到达关键的实质性阶段,上市的可能性就会提高。但是每年在投入数百万甚至数十亿美元之后,很多药物最终都失败了。

本年度的15大临床试验失败案例已经出炉,其中包括我们认为失败的临床试验对我们的研究者和等待新药上市的患者产生了重大的影响。

对于投资人而言,这可能意味着浪费大量的资源以及失去了最合适的商机,并且在某些情况下,对治疗平台乃至整个公司的未来都提出了不可估量的影响和损失。对于患者来说,我们将这些案例的重点放在那些在临床试验中没有达到预期效果而没有被批准的治疗方法中,或许以后有可能在临床上会有更多的希望。

这15大临床试验失败案例包括针对侵略性脑癌,阿尔茨海默氏病和非酒精性脂肪性肝炎的多项试验,这些试验均被认为是药物开发过程中极为困难的疾病。同时,在过去几年中,整体心力衰竭取得了一些进展,但有些方法仍然对治疗有抵抗力。

15大临床试验失败案例中包括了大小不同的公司,甚至包括了世界上最知名的公司。诺华(Novartis)投资了2019年最大的3项失败,而AbbVie和Biogen/Eisai则投资了2项试验。从技术上讲,此名单囊括了从小分子到生物制剂,疫苗,基因疗法和基因编辑药物的各个方面。


1
Depatux-M

  适应症:胶质母细胞瘤
  公司:AbbVie


高度神经胶质瘤(HGG)是最难治疗的肿瘤之一,在我们按字母顺序排列的列表中,第一个是艾伯维(AbbVie)的抗体药物结合物Depatux-M。

Depatux-M(depatuxizumab mafodotin)在3期INTELLANCE-1临床试验中的新诊断成胶质母细胞瘤(GBM)患者中效果达不到预期而失败,它是HGG的一个子类别,它是由称为星形胶质细胞的脑细胞形成的,被认为是生长最快,最恶性的肿瘤形式。 

目前,GBM患者大多都接受了外科手术和化学/放疗的治疗,但患者的前景仍然黯淡,平均生存时间仅为12-18个月,诊断后仅有5%的存活率。

过去针对GBM开发新药的努力几乎是一败涂地,研究道路上充斥着失败,而罗氏(Roche)的VEGF抑制剂重磅炸弹阿瓦斯汀(bevacizumab)是少数获得FDA批准用于该癌症的靶向药物之一。

Depatux-M(以前为ABT-414)是EGFR抑制剂,包括一系列在过去的试验中在GBM中几乎没有成功的小分子和抗体药物。艾伯维(AbbVie)认为,在其他EGFR药物治疗失败的情况下,将靶向EGFR的抗体与化学药物有效结合将有助于其成功,但对5月份INTELLANCE-1临床数据结果打消了这些希望。

事实证明,ADC没有显示出对治疗的有效,并且在没有功能信号的情况下,研究的独立数据监控委员会建议应将其放弃。该药物还已经在神经胶质肉瘤和非小细胞肺癌(NSCLC)以及其他实体瘤中进行了测试,但不再出现在AbbVie的产品线中。艾伯维(AbbVie)起源于该药。

由于GBM难以克服,对Depatux-M的期望并不特别高,这与AbbVie的另一个花费数十亿美元ADC药物 Rova-T的结果不同,后者也进入了我们的2019年榜单(见下文)。然而,这对公司的新推出计划是一个打击,因为其年销售额200亿美元的Humira在生物仿制药竞争中开始下滑。

2
Elenbecestat

  适应症:阿尔茨海默氏病
  公司:Biogen

Biogen公司和Eisai公司联合研制的BACE抑制剂elenbecestat是该类药物中的其中一种,它终于在9月份暂停了试验。

像该类别的其他药物一样,elenbecestat被设计为阻止参与形成淀粉样β肽的酶,该β肽聚集在特征性淀粉样斑块中,这是阿尔茨海默氏症的标志,其失败是数十种靶向淀粉样蛋白的药物中一种。

由于安全性和有效性问题,其他BACE抑制剂被搁置,多项试验表明该药物对治疗没有影响,在某些情况下,实际上可能导至症状恶化得更快。

在对MISSIONAD 3期临床试验的数据进行检查后发现这种药物是没有前途的,之后Elenbecestat退出研究,因此安全性似乎再次成为其主要问题。

就在lanabecestat临床试验之前,仍然有乐观的研究人员建议,如果在症状缓解前的阿尔茨海默氏病患者中应该尽早使用,则可能在使用淀粉样蛋白靶向抗体抑制后给予更低剂量的BACE抑制剂。

其他人则推测某些BACE研究的结果是否较差,是否意味着对BACE和淀粉样肽产生的高水平抑制可能以某种方式干扰神经元的正常功能。现在,在后期测试中没有候选者时,至少在大规模试验中,这些假设似乎不太可能得到验证。

3
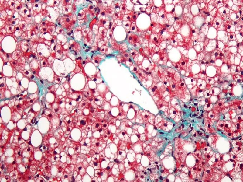
Emricasan

  适应症:非酒精性脂肪性肝炎
  公司:诺华与康纳斯公司(Conatus)

几年来,非酒精性脂肪性肝炎(NASH)一直是制药行业关注的重点,数十种疗法正在酝酿之中,但事实证明,要解决这一难题仍旧是一个艰巨的任务。

康纳斯(Conatus)的泛半胱天冬酶抑制剂emricasan是NASH的一对药物之一,该药物入选了我们的2019年名单,其失败使该公司损失了与诺华公司的合作关系,并在2007年签署了5000万美元的预付款,并迫使其裁员40%。

ENCORE-LF 2b期临床试验中,Emricasan不能在主要终点观察中取得与安慰剂比较的数据,该终点观察患者是否死亡,是否遭受新的代偿失调事件或接受两种剂量的肝病进展。同时,另一项研究发现,Emricasan在改善代偿性NASH肝硬化患者的平均肝静脉压力方面并不优于安慰剂。

该结果是来自其他类似Emricasan的临床数据之后所取得的,因此这并不令人惊讶,但它对Conatus公司的影响却是深远的。

这家生物技术公司还暂停了临床前阶段caspase-1抑制剂CTS-2090的开发,并委托Oppenheimer&Co.寻找战略替代方案,以寻求某种方法来为其陷入困境的投资者挽回一些损失。预计到今年年底,它的现金或流动资产将只有1000万到1500万美元,所以给他们的时间不多了。

在肥胖和糖尿病患者上升的推动下,NASH(一种以酒精纤维化和炎症为特征的非酒精性脂肪肝疾病)正在成为全球主要的医疗保健问题,估计将影响近10亿人。随着越来越多的疾病患者发展为肝硬化和肝衰竭,预计它将在未来十年内成为肝移植的主要原因。

这是一种复杂的疾病,通常没有症状。多年来,人们一直错误地认为抗糖尿病药物将有助于控制这种疾病,从而阻碍了NASH治疗方法的发展。

4
 Entresto

  适应症:射血分数保留的心力衰竭
  公司:诺华

诺华的Entresto(sacubitril / valsartan)在2015年获批用于低血压心力衰竭治疗,但由于临床数据显示不佳,他是首个投资超过10亿美元的心血管和心力衰竭类药物。

HFrEF或收缩性心力衰竭常见于其心脏肌肉无法有效地将富含氧气的血液推至全身的患者。但是,某些患有心力衰竭的人在心脏跳动时会排出正常量的血液,这种类型的心脏衰竭被称为“舒张性”心力衰竭。 

Entresto很有希望在HFpEF中有效,HFpEF约占所有心力衰竭病例的一半,在女性和老年人中更为常见,目前尚无批准的治疗方法。据估计,HFpEF的成功可能为Entresto获得约1300万人的全球患者。

事实证明,Entresto在7月宣布的PARAGON-HF临床试验在中证明是令人失望的,它没有达到减少死亡和紧急住院的主要目标,并威胁到诺华希望获得50亿美元的峰值销售额。

心脏专家认为,HFpEF对于药物而言是一个更加艰巨的挑战,因为它是一种高度多样化的疾病,并且可能是由多种因素共同导至的,包括心脏,血管或肾脏的结构变化,甚至是血液携带氧气的效率。

诺华并没有放弃扩大Entresto的用途,并在11月的美国心脏协会大会上报告了PARAGON-HF和另一项名为PARADIGM-HF的研究的进一步分析,该研究表明对某些患者具有一定的治疗效果。其中包括妇女,心脏左心室结构改变的人以及血压分数范围较低端的人(57%或以下)。当血压分数低于40%时,心力衰竭通常被归类为HFrEF。

诺华公司表示将向全球监管机构提供新数据,以确定Entresto在HFpEF中的下一步发展。

5
 Fevipiprant

  适应症:过敏性哮喘
  公司:诺华

诺华在该清单上的第二项药物是氟维普兰,一种口服活性的前列腺素DP2受体拮抗剂,在涉及过敏性哮喘患者的两项3期试验中未能改善肺功能。

Fevipiprant(也称为QAW039)被称为诺华的另一大特效药。较早的试验表明,它可能能够改善症状和回复肺功能,减轻炎症,甚至可能有助于逆转过敏性哮喘。

尽管有希望,但在两项涉及哮喘未控制患者的3期临床试验中,Fevipipant未能改善患者肺功能(与安慰剂相比)。一项2b期临床试验表明,该药物是第一种减少气道平滑肌质量的药物,这是哮喘疾病严重程度的指标,并可能使患者减少使用大剂量类固醇。

但令人失望的是,氟吡匹普兰的结果并非人们所期待的那样,因为来自阿斯利康,Actelion和Amgen的其他DP2拮抗剂在临床试验中也失败了,诺华在其早期研究中也承认了一些失败原因。

诺华仍在进行中度至重度哮喘加重的氟苯哌丁胺的两项试验,有关数据将于明年获得,因此该计划尚未终止。然而,失败的过敏性哮喘试验给Gossamer Bio带来了压力,Gossamer Bio的DP2拮抗剂GB001处于嗜酸性哮喘(一种严重的呼吸道疾病亚型)的2b期临床试验中。 

6
Opdivo

  适应症:胶质母细胞瘤
  公司:百时美施贵宝

当试图为多发性侵袭性脑癌胶质母细胞瘤(GBM)寻找新疗法时,2019年最大的失望之一是该疾病的免疫肿瘤学方法的失败。

百时美施贵宝的PD-1抑制剂Opdivo(nivolumab)的CheckMate-548临床试验在新诊断的GBM的化学治疗和放射治疗的标准治疗基础上,未能改善无进展患者的生存期(PFS)。该试验招募了具有称为MGMT的特定生物标记物的患者,用于确定GBM的最佳治疗方法。

FDA在近15年内没有批准一线GBM治疗的新疗法,Merck&Co.现在通用的Temodal(temozolomide)是2005年所批准的,但是这种治疗方法五年生存率仍然低至不到每年诊断出该疾病的300000左右的人占5%。

但是,BMS尚未针对GBM放弃Opdivo。它正在继续CheckMate-548试验,以查看将Opdivo添加到替莫唑胺和放疗的标准疗法中是否可以延长总体生存期(OS)。这是一个很难达到的终点,但是对于药物而言,错过PFS读数却可以在统计学上显着提高OS的情况并非鲜见。

尽管如此,这是BMS在GBM中第三次针对Opdivo的试验失败,对于这种形式的癌症进行免疫治疗的可能性存在严重的疑问。

Opdivo的一项较早试验(CheckMate-498)显示,在新诊断的患者中,PD-1药物和放射线的结合未能超过化疗的治疗效果。同时,在2017年报告的复发性GBM的CheckMate-143试验中,Opdivo与2009年被FDA批准为二线选择的罗氏Avastin(贝伐单抗)不匹配。

一些科学家认为,令人失望的结果可能源于肿瘤微环境中T细胞的缺乏,从而阻碍了药物“阻止”免疫系统的能力。药物也很难穿透血脑屏障并靶向中枢神经系统内的肿瘤。

7
Pexa-Vec

  适应症:肝细胞癌
  公司:Transgene,SillaJen

利用病毒的细胞杀伤能力来治疗肿瘤这一观点令人信服,并且已经取得了一种获批准的疗法,即用于晚期黑素瘤的安进公司的Imlygic(talimogene laherparepvec),该疗法在2015年获得了FDA的批准。

Imlygic尚未取得商业成功的部分原因是检查点抑制剂已成为治疗黑素瘤的有效方法,但这并没有阻止制药公司,默克,强生和AbbVie一起进入溶瘤病毒治疗(OVT)方面的许可或收购交易。

考虑到乐观的背景,法国生物技术公司Transgene和合作伙伴SillaJen决定中止其溶瘤病毒候选药物Pexa-Vec(pexastimogene devacirepvec)在肝癌中的试验,这警告了这种方法的潜在缺陷。

不幸的是,根据一项试验的无效性分析,尽管第2阶段的结果表明生存率有所提高,但转基因和SillaJen的OVT并没有单独增加Nexavar的疗效。

Pexa-Vec是一种经过修饰的牛痘病毒,已被设计用于表达增强免疫力的细胞因子GM-CSF,是Transgene OVT计划的主要候选药物,并且是唯一超越临床前发展的SillaJen药物,因此可以预见,两家公司的股价均大幅下跌。

这次失败对于SillaJen来说是一笔更大的交易,SillaJen的市值达到了30亿美元,这在很大程度上要归功于Pexa-Vec的潜力。Transgene还有另一种OVT候选药物TG6002,用于患有无法切除的肝转移的结直肠癌患者,已开始一项1/2期临床试验,而另一项试验则于年底前开始。

SillaJen似乎决心继续使用Pexa-Vec,认为该试验的失败归结于接受包括化学疗法在内的挽救疗法的患者比例的失衡,这使结果偏向于对照组。然而,公司上个月表示,还是决定放弃临床试验。

8
Praliciguat

  适应症:心脏衰竭
  公司:Cyclerion

Cyclerion Therapeutics刚从Ironwood Pharma分离出来仅几个月,当时它被迫放弃其领先药物。

波士顿生物技术公司在10月表示,在心力衰竭(HFpEF)和糖尿病性肾脏疾病的心力衰竭的2期研究中,帕拉西瓜缺乏有效作用。它停止了用于HFpEF的药物的开发,但在看到一些迹象表明它可以改善肾脏疾病的生物标志物后,暂时坚持使用肾脏疾病的适应症,即使它没有达到统计学意义。

在安慰剂对照心力衰竭试验中,Praliciguat无法提高HFpEF患者的运动能力。sGC刺激剂被认为通过修复受损的一氧化氮信号传导途径而起作用,该途径被认为会引起血管壁平滑肌的收缩和过度生长。

HFpEF是一种难以治疗的心力衰竭,未经批准的治疗方法令人失望,这标志着该疾病与诺华的Entresto一起是此名单15名中第二位失败的案例,这一失败打破了2019年出现突破性疗法的希望。

但是,在这方面仍然有一些希望。11月,默克公司和拜耳公司在心力衰竭(HFrEF)的VICTORA 3期临床试验中,其sGC刺激剂Vericiguat报告了积极的结果,尽管中期SOCRATES研究结果不一。

尽管如此,默克和拜耳还在进行HFpEF的第二阶段试验,据说该试验将于2019年底完成。

9
Rapastinel

  适应症:重度抑郁症
  公司:Allergan

Rapastinel是一种抑郁症药物,Allergan在2015年以5.6亿美元的价格收购了Naurex的Rapastinel,在今年进行了至少四项关键试验未能实现其目标之后,Rapastinel现已被放弃。

该公司正在测试静脉注射谷氨酸NMDA部分激动剂,作为对标准抗抑郁药反应不佳的重度抑郁症(MDD)患者的附加疗法。

在三项研究中,该药物作为口服抗抑郁药的辅助剂均具有良好的耐受性,但未能在包括蒙哥马利-奥斯伯格抑郁量表或MADRS在内的研究终点上与安慰剂区分开。该药物作为单一疗法的第四次试验在中期读出阶段也没有在MDD中留下痕迹。

rapastinel失败的消息出现时,刚好FDA批准了詹森氏Spravato(esketamine)的抗抑郁治疗药物,后者是一种由氯胺酮衍生的鼻喷雾剂,是数十年来首款具有新颖作用机制的抗抑郁药。Spravato还被认为可以通过NMDA途径发挥作用,并出现在2019年十大产品中。它被强生公司(Johnson&Johnson)认为具有超过10亿美元的销售潜力,因为它的起效速度比口服口服药要快得多。

Allergan正在研发一种后续药物,一种称为apimostinel的rapastinel的类似物,据称具有更大的效力,并具有皮下或口服给药的潜力。这不再出现在艾尔建的产品线中。但是,仍列出了另一种NMDA药物(已从Naurex衍生公司Aptinyx许可)。

该药物称为AGN-241751,是NMDA的口服活性部分共激动剂,根据该公司的最新更新资料,该药物已进入第2阶段。

rapastinel的损失也给AbbVie敲了敲响。AbbVie同意在今年早些时候以630亿美元的巨额合并收购Allergan。

10
ResVax

  适应症:呼吸道合胞病毒
  公司:Novavax

曾有人吹捧诺瓦克斯的呼吸道合胞病毒(ResVax)可能成为有史以来最畅销的疫苗,但在今年进行了第三阶段失败之后,这种可能性似乎很小。

三年前,ResVax对近12000名60岁以上的成年人进行了安慰剂对照研究,该试验测试了它是否能够抵御下呼吸道的RSV相关疾病。当时,该公司表示进一步的试验是针对婴儿进行测试,并在盖茨基金会的支持下启动了一项8900万美元的试验。

到今年2月,Novavax承认疫苗无效。这项为期4年的研究对4600名孕妇进行了研究(在妊娠中期使用ResVax),并没有支持这样的假说,即免疫力可以传递并在婴儿出生后的90天内保护婴儿。这意味着需要另外的临床试验来获得FDA的批准。

尽管该疫苗对RSV相关的下呼吸道感染(LRTIs)仅具有39%的保护功效,但它能够将住院患者减少25%,将RSV相关LRTI住院减少44%。

Novavax认为在欧洲有条件批准该疫苗时可能会有所作为,但在9月份,该公司一份文件中透露,EMA并不打算批准此疫苗,也可能会要求再次申请。

总部位于马里兰州盖瑟斯堡的生物技术公司上个月表示,“正在继续与全球监管机构和潜在合作伙伴进行讨论,以探索将ResVax推向全球市场的机会。”

尽管葛兰素史克公司和默沙东公司有候选药物正在通过临床试验,但目前尚无批准的RSV疫苗可用于应对每年全球估计发生的6400万RSV感染。该疾病的药物开发也一直是一个挑战。如果阿斯利康声称已批准与赛诺菲合作的抗体MEDI8897,该领域可能会取得所希望的成功,该抗体正在美国和欧洲进行审查。

截至第三季度末,Novavax的现金储备仍约为7600万美元,但其研发支出可能会急剧增加(即使保留了ResVax),因为它为其另一项主要候选疫苗:四价流感进行了三期临床试验。

11
Rivipansel

  适应症:与镰状细胞性贫血相关的血管闭塞性疾病
  公司:GlycoMimetics,Pfizer

对于镰状细胞疾病(SCD)的患者来说,2019年总体上可谓是可喜的一年,其中有两项新药批准和基因疗法试验呈阳性数据,但GlycoMimetics错过了。

8月,该生物技术公司披露了由其长期发展合作伙伴辉瑞公司进行的rivipansel3期试验全面失败,该药物缺少其主要终点指标。

试验涉及6岁及以上患有SCD的患者,这些患者因血管闭塞性危机(VOC)入院并需要接受静脉内阿片类镇痛药治疗。已对Rivipansel进行了测试,以查看它是否可以减少患者出院并减少阿片类药物的使用时间,但全面失败。

在SCD中,血管内选择素的数量增加,这使血细胞更易于粘附在表面。rivipansel可以帮助清除阻塞血管的团块红细胞,并引起这种疾病的特征性疼痛发作(称为VOC)。

辉瑞早在2011年就与GlycoMimetics签署了一项价值3.4亿美元的协议,以购买实验药物GMI-1070。

失败令GlycoMimetics和辉瑞公司大失所望,但对于SCD患者,医生和家属治疗的选择性总体上正在改善。

上个月,FDA批准了Global Blood Therapeutics的Oxbryta(voxelotor用于治疗12岁及以上患者的SCD。美国SCD协会表示,该药有望“改变这种疾病的病程”。它通过防止导至红细胞变形为SCD中特征性镰刀形状的血红蛋白聚合而起作用。

几周前,美国监管机构还批准了诺华的抗P选择素抗体Adakveo(crizanlizumab作为预防SCD的青少年和成人中VOC的首个靶向治疗药物。

同时,6月,蓝鸟生物公司的基因疗法Zynteglo在欧洲因另一种称为β地中海贫血的血液疾病而获得了有条件批准,并且正处于SCD的后期开发阶段。

12
Rova-T

适应症:小细胞肺癌
  公司:AbbVie

艾伯维(AbbVie)在我们的失败案例中的第二个项目是Rova-T,这是一种抗体偶联药物,在小细胞肺癌(SCLC)的一项与吸烟有关的难以治疗的癌症的3期研究中失败之后,最终不得不停止。 

三年前,AbbVie通过以58亿美元的价格收购了Stemcentrx的Rova-T(罗华单抗tesirine),这是基于在SCLC中的中期临床数据,另外还有40亿美元的预付款。从那以后,ADC作为这种癌症的第三,第二和最后一线维持治疗依次失败,除了外科手术和化学疗法以外,几乎没有其他治疗选择。

Rova-T的靶向δ样蛋白3(DLL3),该蛋白在SCLC患者中超过80%的肿瘤中表达。它旨在将细胞毒性有效载荷直接传递至表达DLL3的癌细胞,同时保留健康细胞并减少副作用。

8月份报道的MERU试验是AbbVie的最后一根救命稻草,该药物在SCLC一线化学疗法作为维持治疗后给予安慰剂后显示无生存益处。该公司决定不继续开发其他与DLL3相关的癌症,而是选择将研发支出转移到更有前景的项目上。

Rova-T变成了一次昂贵而毫无结果的尝试,AbbVie在今年早些时候证实,它将吸收与Stemcentrx交易有关的约40亿美元的减值准备。该公司依赖200亿美元产品Humira(adalimumab),该产品目前正面临生物仿制药的竞争。

从那以后,新产品的批准,例如用于关节炎的JAK抑制剂Rinvoq(upadacitinib)和用于牛皮癣的Skyrizi(risankizumab)的批准,已经减轻了一些压力,但它们正在进入竞争激烈的市场。

加上当然还有与肉毒杆菌毒素生产商艾尔建(Allergan)进行的630亿美元合并,以缓解在2023年美国Humira竞争之前带来的现金短缺。失去Rova-T是沉重的打击,特别是因为该公司曾建议该药物的峰值销售达到50亿美元。

13
SB-913

  适应症:II型粘多糖贮积症
  公司:Sangamo Biosciences

Sangamo Biosciences致力于锌指核酸酶(ZFN)基因编辑平台已有多年历史,早于竞争对手CRISPR出现之前,但从临床试验中进行的早期结果并不令人满意。

早在2月,该生物技术的股票受到重创,其基于ZFN的领先疗法SB-913在1/2 CHAMPIONS期研究中未能启动,该研究涉及患有罕见遗传病II型黏多糖贮积症(II型)的患者,或亨特综合征。在人类体内进行基因组编辑产生数据的第一个试验中,这是一个巨大的失败。

ZFN方法涉及切割细胞DNA,以便插入新序列,在这种情况下,该基因编码的MPS II缺陷的称为IDS的酶。

Sangamo当时表示,它可能必须将注意力转移到第二代ZFN技术上,希望它具有更大的效能。

自那以后,已经确认没有其他患者会接受第一代ZFN,并且其下一个体内基因组编辑临床试验预计将于2020年底开始。

在参与CHAMPIONS试验的六名患者中,有五名患者SB-913既没有显示出IDS酶的增加,也没有显示出糖胺聚糖的减少,而糖胺聚糖的积累是由于IDS水平不足而对MPS II造成伤害,包括器官损害。

第六名接受最高剂量SB-913的患者IDS短暂升高,六周后消失,Sangamo将其归因于轻度炎症的发展,认为轻度炎症与免疫反应有关。该结果使该公司感到安慰,该公司表示打算对另外三名患者进行高剂量试验。

同时,Sangamo一直在谈论其在A型血友病和Fabry疾病中的基因治疗计划以及ZFN技术在离体基因编辑应用(如ST-400,地中海贫血症和镰状细胞性疾病治疗)中的潜力。

14
Selonsertib

  适应症:非酒精性脂肪性肝炎
  公司:Gilead Sciences

吉利德科学公司(Gilead Sciences)的ASK1抑制剂selonsertib被认为是具有挑战性的非酒精性脂肪性肝炎(NASH)类别中的领先者,希望今年上市,但在两项表明该计划结束的3期试验中均未达到目标。

Selonsertib吉利德(Gilead)临床计划中三种NASH药物之一,希望它可以帮助减少脂肪肝患者的纤维化或疤痕形成。

随后在4月份进行了STELLAR-3试验,在该结果中,selonsertib在减少桥接纤维化患者(也称为3期纤维化)的结疤方面比安慰剂要差,这是由NASH引起的。一些分析师表示,鉴于第二阶段表现平淡,结果并不令人惊讶。

吉利德(Gilead)的其他两个临床阶段NASH资产正在开发中,分别是FXR激动剂cilofexor和ACC抑制剂firsocostat,它们都处于中期测试阶段。现在,尽管NASH是一个艰难的目标,并且在过去几年中已经宣布失败了许多其他候选药物,包括吉利德自己的辛妥珠单抗,但如今,它面临着被其它竞争对手超越的前景。

到目前为止,只有一种新疗法(Intercept Pharma的奥贝胆酸)在试验中显示出活性,尽管它存在一些安全隐患,包括某些患者的严重瘙痒。该药物已作为Ocaliva出售给原发性胆源性胆管炎,并已在NASH申请批准。对该药物的最高销售额估计为20亿美元,前提是该药物获得了NASH的批准。

吉利德坚称,它将从失败的STELLAR试验中汲取经验,例如通过为NASH开发新的诊断程序来改进试验,并将努力推动其他候选方案的发展。它认为有效治疗NASH的关键在于药物组合,当ATLAS组合试验在未来几周内宣读时,它将对前进的道路有更清晰的认识。

同时,它继续增加其在该领域的研发计划,例如最近与Insitro达成的10亿美元交易,其中包括1500万美元的预付款,以创建NASH的疾病模型并发现影响疾病进展或消退的靶标。

15
Toca 511 / Toca FC

  适应症:复发性高级神经胶质瘤
  公司:Tocagen

在AbbVie的Depatux-M和Bristol-Myers Squibb的Opdivo未能达到该等级之后,Tocagen成为癌症晚期计划的最后一批公司,但在9月,它揭示了其Toca 511/Toca FC基因治疗也很失败。与Toca 5试验中的标准治疗相比,它错过了总体生存的主要终点,并且也未能实现其所有次要结果指标。

Toca 511是可注射的逆转录病毒复制载体,可被递送至癌细胞并编码称为胞嘧啶脱氨酶(CD)的前药激活酶。同时,Toca FC是一种研究性的化学疗法前药5-氟胞嘧啶(5-FC),直到被CD催化才有效。该疗法的基本原理是癌细胞表达CD并因此激活治疗的化学成分,从而保留健康的组织。

Tocagen正在进行新诊断的胶质母细胞瘤治疗的2/3期试验和非肌肉浸润性膀胱癌的1期试验,但Toca 5在神经肿瘤学会年会上也有更多令人鼓舞的新闻报道。

在失败试验的亚组分析中,Tocagen说,在60例第二次HGG复发的患者中,与标准治疗相比,死亡风险降低了57%,是传统方法的两倍。IDH1突变的患者受益最大。

如果Toca 511/ Toca FC确实是末端的,它将使Celgene的蛋白酶体抑制剂marizomib成为可能在未来几年内在胶质母细胞瘤中产生阳性晚期结果的少数药物之一。

声明:
1、凡本网注明“来源:小桔灯网”的所有作品,均为本网合法拥有版权或有权使用的作品,转载需联系授权。
2、凡本网注明“来源:XXX(非小桔灯网)”的作品,均转载自其它媒体,转载目的在于传递更多信息,并不代表本网赞同其观点和对其真实性负责。其版权归原作者所有,如有侵权请联系删除。
3、所有再转载者需自行获得原作者授权并注明来源。

最新评论

关闭

官方推荐 上一条 /3 下一条

客服中心 搜索 洽谈合作
返回顶部