立即注册找回密码

QQ登录

只需一步,快速开始

微信登录

微信扫一扫,快速登录

搜索
小桔灯网 门户 资讯中心 共识指南 查看内容

白春学:肺结节诊治中国共识解读 | CACP 2019

2019-7-2 16:40| 编辑: 面气灵| 查看: 5290| 评论: 0|来源: 呼吸界

摘要: 刚性需求:从肺癌流行病学看左下图为2016年河北石家庄市发表在Thorac Cancer的一篇文章,其中高峰区域表明石家庄市70岁年龄组的肺癌发病率已经接近500/100000,也就是1/200,算是世界之最了。我国的男性和女性的肺癌 ...



刚性需求:从肺癌流行病学看

 


左下图为2016年河北石家庄市发表在Thorac Cancer的一篇文章,其中高峰区域表明石家庄市70岁年龄组的肺癌发病率已经接近500/100000,也就是1/200,算是世界之最了。我国的男性和女性的肺癌发病率在亚洲都是第一位的。右下图的五年存活率中,1999年报道中国肺癌的五年存活率只有8%,当时日本为21%,美国为20%,经过20年的时间,我们现在终于接近19.7%了,但还是低于美国和日本20年前的水平。


怎么解决这个问题?


我们要另辟蹊径,按照原来的方法和技术无法改变现状,所以我们要通过物联网医学执行肺结节诊治中国专家共识和亚太肺结节评估指南,来推动我们的诊治。

 

2014年9月20日制定中国首个《肺结节诊治中国专家共识》发表在《中华结核和呼吸杂志》,2018年更新共识。


解读精华


1

肺结节定义和分类

肺结节定义

影像学示直径≤3 cm的局灶性、类圆形、密度增高的实性或亚实性肺部阴影。可为孤立或多发,不伴肺不张、肺门淋巴结肿大和胸腔积液。局部病灶直径>3 cm者则称为肺肿块。


肺结节可分为以下三类


1

数量分类

单个病灶定为孤立性,孤立性肺结节为边界清楚、密度增高、直径≤3 cm且周围被含气肺组织包绕的软组织影;2个以及以上的病灶定义为多发性,需要与转移性肺肿瘤鉴别诊断。


2

密度分类

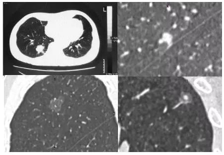
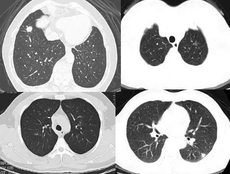
实性肺结节(solid nodule),间质血管都看不见(左上图),亚实性肺结节(subsolid nodule)包括纯磨玻璃结节(pure ground-class nodule,pGGN)(左下图),还有混杂性结节(mixed ground-glass nodule,mGGN),也称部分实性结节(part solid nodule),表现为间质样改变,中间实性,周围是磨玻璃样。


3

病灶大小分类 

在2018年版的专家共识中,我们做了一个创新,首个共识提出大小分类:微小结节(直径<5mm),小结节(直径5-10 mm),肺结节(直径 30 mm以下)。这样分类有助于分级诊疗。

 

<5mm的微小结节对于病人来说,半年甚至一两年之内都没有很大的威胁,可以放心的在基层医院管理;

5-10 mm的小结节可以在有诊治经验的中国肺癌防治联盟肺结节诊治分中心管理;

≥10 mm的肺结节则应该尽早诊治,如果不能确诊,建议多学科会诊(MDT)。


2

筛查人群和评估手段

筛查人群 

<
声明:
1、凡本网注明“来源:小桔灯网”的所有作品,均为本网合法拥有版权或有权使用的作品,转载需联系授权。
2、凡本网注明“来源:XXX(非小桔灯网)”的作品,均转载自其它媒体,转载目的在于传递更多信息,并不代表本网赞同其观点和对其真实性负责。其版权归原作者所有,如有侵权请联系删除。
3、所有再转载者需自行获得原作者授权并注明来源。

最新评论

关闭

官方推荐 上一条 /3 下一条

客服中心 搜索 洽谈合作
返回顶部